
Ê-kíp bác sĩ thực hiện phẫu thuật loại bỏ u quái buồng trứng.
Khối u kỳ quái, không ngừng phát triển dù người bệnh đã mãn kinh nhiều năm
Vài năm trước, chị P.T.T (56 tuổi, Thái Nguyên) phát hiện có khối u ở buồng trứng. Thấy kích thước còn nhỏ lại sắp bước vào giai đoạn mãn kinh, chị chủ quan nghĩ khối u sẽ tự ngừng phát triển. Thế nhưng, sau khi mãn kinh khoảng 2 năm, chị bắt đầu cảm thấy vùng bụng dưới căng tức kèm tình trạng tiểu rắt nên đã đến Bệnh viện Đa khoa Hồng Ngọc Phúc Trường Minh thăm khám.
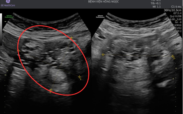
Tại đây, chị được chỉ định siêu âm, kết quả cho thấy hình ảnh hỗn hợp âm gồm tổ chức đặc và dịch kích thước hơn 7cm, nghi ngờ u bì buồng trứng, hay còn gọi là u quái trưởng thành. Đây là một loại u lành tính có nguồn gốc từ tế bào mầm, loại tế bào có khả năng phát triển thành nhiều mô khác nhau như tóc, xương, răng hay tuyến bã.

Hình ảnh siêu âm cho thấy khối u 7cm chèn ép bàng quang, trực tràng.
Giải thích về lý do khối u vẫn phát triển dù đã mãn kinh, ThS.BS Nguyễn Thị Thùy (Phó Trưởng khoa Sản Phụ khoa, BVĐK Hồng Ngọc Phúc Trường Minh) cho hay: "Trong các khối u quái thường tồn tại những tế bào mầm có khả năng sinh trưởng độc lập, không phụ thuộc vào nội tiết tố, nên dù mãn kinh, khối u vẫn có thể phát triển kích thước một cách nhanh chóng. Ở phụ nữ lớn tuổi, sự giảm trương lực cơ bụng và các yếu tố chuyển hóa cũng có thể khiến tình trạng bệnh nặng nề hơn".
Mặc dù u bì buồng trứng không phải là bệnh lý hiếm gặp, song vẫn tiềm ẩn nhiều nguy cơ như xoắn, vỡ u, nhiễm trùng, thậm chí hóa ác tính trong một số trường hợp đặc biệt. Vì vậy, phẫu thuật loại bỏ khối u là phương án điều trị tối ưu nhất.
Phẫu thuật tỉ mỉ loại bỏ khối u quái, lấy ra nhiều tóc, xương và răng
Trước nguy cơ diễn biến bất thường của khối u, các bác sĩ đã hội chẩn và quyết định thực hiện phẫu thuật nội soi. Đây là phương pháp ít xâm lấn, đòi hỏi thao tác tỉ mỉ, đặc biệt với những khối u có cấu trúc phức tạp như u bì buồng trứng.
"Mặc dù khối u kích thước không quá lớn nhưng đã kéo cả tử cung và buồng trứng lên quá rốn, chèn vào bàng quang. Vì vậy, ê-kíp phẫu thuật phải hết sức tỉ mỉ để loại bỏ được toàn bộ các tổ chức bất thường, đồng thời không làm ảnh hưởng đến các cơ quan lân cận", bác sĩ Thùy chia sẻ.
Thông qua 3 đường rạch nhỏ chỉ 0.5cm, các bác sĩ đã từng bước đưa dụng cụ nội soi vào ổ bụng loại bỏ hoàn toàn khối u và 2 phần phụ. Khi tách khối u, ê-kíp ghi nhận nhiều cấu trúc bất thường như tóc, xương và răng, đặc trưng của dạng u quái trưởng thành. Khối u được cắt nhỏ và đưa ra ngoài an toàn bằng túi chuyên dụng, qua đó ngăn ngừa viêm nhiễm và biến chứng sau mổ.

Hình ảnh khối u và bệnh phẩm với nhiều tóc, răng và xương.
Nhờ kỹ thuật nội soi hiện đại và tay nghề vững vàng của các bác sĩ, ca phẫu thuật diễn ra thuận lợi. Sau mổ, người bệnh hồi phục nhanh. "Không đau, cũng không nhức vết mổ hay ổ bụng chút nào. Chỉ khoảng 12 tiếng sau phẫu thuật là tôi đã có thể ngồi dậy và đi lại rồi.", chị T cho hay.
Thời gian qua, BVĐK Hồng Ngọc đã tiếp nhận và xử lý nhiều trường hợp có u quái kích thước lớn, thậm chí có những người bệnh còn đang trong độ tuổi học sinh. "Vì tiến triển chậm, u bì buồng trứng thường không có triệu chứng rõ ràng, nhiều người chỉ tình cờ phát hiện khi đi siêu âm. Khi u lớn, người bệnh có thể thấy đau tức bụng dưới, rối loạn kinh nguyệt, chướng bụng hoặc cảm giác nặng vùng chậu", bác sĩ Thùy giải thích.
Khám phụ khoa định kỳ và khám ngay khi có dấu hiệu bất thường là cách hiệu quả nhất để phát hiện u bì buồng trứng cùng nhiều bệnh phụ khoa nguy hiểm. Khi phát hiện bệnh, chị em cần theo dõi sát sao theo hướng dẫn của bác sĩ và tiến hành phẫu thuật khi có chỉ định.

Khám phụ khoa định kỳ giúp phát hiện sớm và lên kế hoạch điều trị hiệu quả các bệnh phụ khoa nguy hiểm.
Hiện nay, với sự phát triển của y học hiện đại, các bệnh lý phụ khoa có thể được điều trị hiệu quả bằng phẫu thuật nội soi - phương pháp ít xâm lấn, an toàn và thẩm mỹ. "Phẫu thuật nội soi giúp hạn chế đau, ít biến chứng và rút ngắn thời gian nằm viện. Đây cũng là phương pháp được áp dụng phổ biến tại BVĐK Hồng Ngọc, đảm bảo người bệnh có thể hồi phục nhanh và sớm trở lại sinh hoạt bình thường ", bác sĩ Thùy nhấn mạnh.
Bệnh viện Đa khoa Hồng Ngọc với 20 năm uy tín trong lĩnh vực Sản Phụ khoa, tập hợp đội ngũ chuyên gia đầu ngành, giàu kinh nghiệm và tận tâm; cùng trang thiết bị hiện đại, là địa chỉ điều trị các bệnh lý phụ khoa nguy hiểm được nhiều chị em tin cậy.
Liên hệ hotline 0886 621 046 - 0886 468 306 để được tư vấn.
Bệnh viện Đa khoa Hồng Ngọc: 55 Yên Ninh, Trúc Bạch, Ba Đình, Hà Nội
Bệnh viện Đa khoa Hồng Ngọc Phúc Trường Minh: số 8 Châu Văn Liêm, Từ Liêm, Hà Nội




































