Ho kéo dài, đi khám phát hiện suy tim cấp
Anh L.D.L (35 tuổi) được đưa đến Bệnh viện Đa khoa Hồng Ngọc – cơ sở Yên Ninh trong tình trạng ho nhiều, nôn và khó thở. Theo người nhà, các triệu chứng đã xuất hiện từ trước nhưng tăng nặng nhanh trong đêm khiến bệnh nhân mệt lả, không thể ngủ.
Khi nhập viện, chỉ số SpO2 của bệnh nhân giảm xuống còn 79%, cho thấy tình trạng suy hô hấp nặng, đe dọa trực tiếp đến tính mạng. Các bác sĩ lập tức chỉ định thở máy, hồi sức tích cực và thực hiện các xét nghiệm chuyên sâu để tìm nguyên nhân.
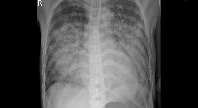
Phim chụp X quang thể hiện tổn thương mờ, lan tỏa 2 phổi của bệnh nhân. Ảnh: BVCC
Kết quả chẩn đoán cho thấy bệnh nhân bị suy tim cấp nặng, chức năng co bóp cơ tim suy giảm nghiêm trọng, chỉ còn 31%. Tình trạng này đi kèm Nhiễm trùng máu và viêm phổi nặng, khiến suy hô hấp tiến triển nhanh, nguy cơ tử vong cao.
Người bệnh được chuyển đến Khoa Hồi sức tích cực để theo dõi sát, đặt ống nội khí quản sớm, đồng thời phối hợp điều trị suy tim, kiểm soát nhiễm trùng và hỗ trợ hô hấp.
Theo ThS.BS Nguyễn Thị Thư, dấu hiệu ban đầu của bệnh nhân dễ khiến nhiều người nghĩ đến bệnh lý phổi cấp tính. Tuy nhiên, nguyên nhân thực sự là do suy tim cấp gây ứ trệ tuần hoàn, dẫn đến phù phổi, sau đó tiến triển thành nhiễm trùng huyết và làm tình trạng suy tim ngày càng nặng hơn.
Vòng xoắn bệnh lý nguy hiểm khiến tim, phổi nhanh chóng suy kiệt
Các vấn đề như suy tim, suy hô hấp và nhiễm trùng không tồn tại riêng lẻ mà tác động qua lại, tạo thành “vòng xoắn bệnh lý” nguy hiểm. Khi tim suy giảm chức năng, dịch ứ đọng gây phù phổi, làm giảm khả năng trao đổi oxy, từ đó khiến suy hô hấp nặng hơn. Đồng thời, nhiễm trùng làm cơ thể suy kiệt, tiếp tục khiến tim hoạt động kém hiệu quả.
Theo bác sĩ, tình trạng này dễ xảy ra và tiến triển nặng hơn ở những người có bệnh nền nhưng không kiểm soát tốt. Trường hợp của anh L. có tiền sử đái tháo đường nhưng không điều trị, làm suy giảm miễn dịch và khiến bệnh diễn tiến nghiêm trọng hơn.
Nhờ được phát hiện kịp thời và xử trí tích cực, sau 3 ngày điều trị, bệnh nhân đã được cai thở máy. Ngày tiếp theo, bệnh nhân được rút ống nội khí quản và có thể tự thở hoàn toàn. Sau 12 ngày điều trị, sức khỏe bệnh nhân phục hồi tốt và đủ điều kiện xuất viện.
Theo các bác sĩ, đây là trường hợp điển hình cho thấy nếu can thiệp kịp thời, ngay cả những ca bệnh nguy kịch vẫn có thể được cứu sống.
Ảnh minh họa.
Suy tim đang có xu hướng trẻ hóa, không chỉ gặp ở người lớn tuổi
Theo nhận định của bác sĩ điều trị, ở người trẻ, suy tim cấp thường không xuất phát từ lão hóa mà liên quan nhiều đến bệnh nền, yếu tố di truyền hoặc lối sống không lành mạnh. Trường hợp của bệnh nhân 35 tuổi là minh chứng rõ nét cho xu hướng trẻ hóa của bệnh tim mạch hiện nay.
Theo thống kê của Bộ Y tế, khoảng 25% người trưởng thành tại Việt Nam mắc bệnh tim mạch, trong đó không ít trường hợp ở độ tuổi 30–40. Nguyên nhân chủ yếu đến từ việc không kiểm soát tốt các bệnh nền như tăng huyết áp, đái tháo đường, rối loạn mỡ máu, cùng với lối sống ít vận động, ăn uống thiếu khoa học, căng thẳng kéo dài, hút thuốc lá và sử dụng rượu bia.
Dấu hiệu cảnh báo tim mạch, tuyệt đối không chủ quan
Các bác sĩ khuyến cáo người dân nên chủ động khám sức khỏe định kỳ, ngay cả khi chưa có triệu chứng. Những người có nguy cơ cao như trên 45 tuổi, có tiền sử gia đình mắc bệnh tim mạch, béo phì hoặc mắc các bệnh chuyển hóa cần được theo dõi thường xuyên.
Đặc biệt, không nên chủ quan khi xuất hiện các dấu hiệu như đau ngực, khó thở, hồi hộp, tim đập nhanh hoặc mệt mỏi kéo dài không rõ nguyên nhân. Việc thăm khám sớm giúp phát hiện bệnh kịp thời, từ đó giảm nguy cơ biến chứng nguy hiểm, đặc biệt là các tình trạng cấp cứu như suy tim hoặc suy hô hấp.
Người bệnh suy gan, suy tim được hồi sinh nhờ nghĩa cử hiến tạng xuyên ViệtGĐXH - Từ nghĩa cử hiến tạng của một bệnh nhân chết não tại TP.HCM, các bác sĩ đã thực hiện hành trình vận chuyển tạng xuyên đêm để ghép cho nhiều người bệnh trên cả nước.




































