Phát hiện ung thư gan sau thời gian bỏ điều trị viêm gan B
Ông Phi (63 tuổi) được chẩn đoán viêm gan B mạn tính khoảng 10 năm trước và từng điều trị bằng thuốc kháng virus nhằm ức chế sự nhân lên của virus HBV. Sau một thời gian, tải lượng virus giảm xuống mức thấp, men gan ổn định nên được bác sĩ cho phép ngừng thuốc, đồng thời khuyến cáo cần tái khám định kỳ để theo dõi chức năng gan và tầm soát ung thư cùng các biến chứng.
Tuy nhiên, do cảm thấy sức khỏe ổn định, ông không duy trì việc kiểm tra định kỳ trong nhiều năm. Gần đây, khi xuất hiện mệt mỏi kéo dài, ăn uống kém và đau âm ỉ vùng hạ sườn phải, ông đến Bệnh viện Đa khoa Tâm Anh TP HCM thăm khám.
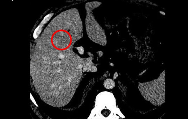
Tại đây, bác sĩ chỉ định thực hiện các xét nghiệm và chẩn đoán hình ảnh. Kết quả chụp CT ghi nhận tại gan có khối tổn thương kích thước khoảng 22 x 24 mm cùng một số nốt nhỏ khác. Để xác định bản chất, người bệnh được sinh thiết gan và kết quả giải phẫu bệnh xác định mắc ung thư gan giai đoạn sớm.
Kết quả CT cho thấy tổn thương gan (khoanh tròn). Ảnh: BVCC
Điều trị ung thư gan giai đoạn sớm bằng phương pháp ít xâm lấn
Sau khi hội chẩn, các bác sĩ chỉ định điều trị bằng phương pháp đốt u gan bằng sóng cao tần (RFA) – kỹ thuật sử dụng nhiệt năng từ sóng vô tuyến để phá hủy tế bào ung thư. Đây là phương pháp ít xâm lấn, thường áp dụng với các khối u nhỏ, phát hiện sớm.
Thủ thuật được thực hiện trong khoảng 20 phút. Sau can thiệp, người bệnh ít đau, phục hồi nhanh và xuất viện sau một ngày. Ông Phi được hẹn tái khám định kỳ để theo dõi hiệu quả điều trị và tầm soát nguy cơ tái phát ung thư gan.
Người bệnh viêm gan B cần làm gì để ngừa ung thư gan?
Theo bác sĩ, viêm gan B mạn tính là nguyên nhân hàng đầu dẫn đến xơ gan và ung thư gan. Nguy cơ đặc biệt cao nếu virus tiếp tục nhân lên trong thời gian dài, gây viêm gan mạn và tổn thương gan tiến triển.
Các thuốc kháng virus hiện nay có thể kiểm soát tốt sự nhân lên của HBV, giúp giảm nguy cơ biến chứng. Tuy nhiên, virus không thể bị loại bỏ hoàn toàn khỏi cơ thể, do đó người bệnh vẫn cần được theo dõi lâu dài ngay cả khi các chỉ số đã ổn định.
Trong một số trường hợp, bác sĩ có thể cân nhắc ngừng thuốc khi tải lượng virus được kiểm soát bền vững. Dù vậy, sau khi ngừng điều trị, nguy cơ virus tái hoạt động vẫn tồn tại, vì vậy việc tái khám định kỳ là bắt buộc.
Ảnh minh họa.
Ung thư gan có thể phòng ngừa nếu tầm soát đúng cách
Ung thư gan là một trong những bệnh ung thư gây tử vong hàng đầu tại Việt Nam. Nhiễm virus viêm gan B và C được xem là yếu tố nguy cơ chính, chiếm tới 80–90% các trường hợp.
Các chuyên gia khuyến cáo, người mắc viêm gan B cần kiểm tra định kỳ bao gồm xét nghiệm chức năng gan, đo tải lượng HBV DNA, siêu âm gan và các xét nghiệm cần thiết khác để phát hiện sớm bất thường. Với nhóm nguy cơ cao, việc tầm soát ung thư gan nên thực hiện mỗi 6 tháng.
Ngay cả khi không có triệu chứng, bệnh vẫn có thể tiến triển âm thầm. Việc duy trì theo dõi định kỳ là yếu tố then chốt giúp phát hiện sớm, tăng hiệu quả điều trị và cải thiện tiên lượng sống cho người bệnh.
Người phụ nữ 41 tuổi phát hiện ung thư vú thừa nhận 1 sai lầm nhiều chị em Việt mắc phảiGĐXH - Phát hiện khối ở vùng ngực kèm đau tức nhẹ, người phụ nữ 41 tuổi đi khám và được chẩn đoán ung thư vú, cảnh báo dấu hiệu nhiều chị em dễ bỏ qua.




































