Bạn có bao giờ thức dậy với cái đầu ong ong, hàm cứng ngắc và nghĩ "chắc lại stress"?
Hàng triệu người đang lặng lẽ chịu đựng những cơn đau ấy mà không biết thủ phạm nằm ngay trong miệng mình.
Đây là câu chuyện thật của tôi - một Tiktoker bận rộn nhưng luôn bị những cơn đau đầu hành hạ và hành trình hơn 2 năm niềng răng đã thay đổi tất cả.
Nỗi ám ảnh từ những cơn đau đầu
Tôi từng nghĩ rằng những cơn đau đầu triền miên chỉ là hậu quả của áp lực công việc và thiếu ngủ. Có những hôm thức dậy, tôi cảm giác như bị ai đó dùng búa gõ vào thái dương. Đầu đau âm ỉ, hàm cứng đờ, há miệng ra là nghe "khục" một cái. Có hôm đang ăn cơm mà đau buốt đến mức phải nhả ra, nước mắt cứ thế trào ra. Tôi nghĩ chắc do áp lực công việc, ngủ ít, nên cứ uống thuốc giảm đau như cơm bữa. Nhưng càng uống, càng không đỡ. Ăn uống thì khó khăn, nhai cái gì cũng đau, lâu dần mình sút cân, người mệt mỏi.

Đỉnh điểm là dạ dày bắt đầu hành hạ. Ợ chua, đau bụng, đêm nào cũng trằn trọc. Lúc đó, tôi hoảng loạn, nghĩ đến tình huống xấu nhất là mình bị u não hay đột quỵ gì đó. Thế là tôi "lao" vào viện khám, được chỉ định chụp MRI, CT, khám nội thần kinh, tai mũi họng… các kiểu. Kết quả? Toàn bộ bình thường. Bác sĩ bảo: "Cậu bị stress thôi". Nhưng tôi biết, mọi thứ không đơn giản như thế.
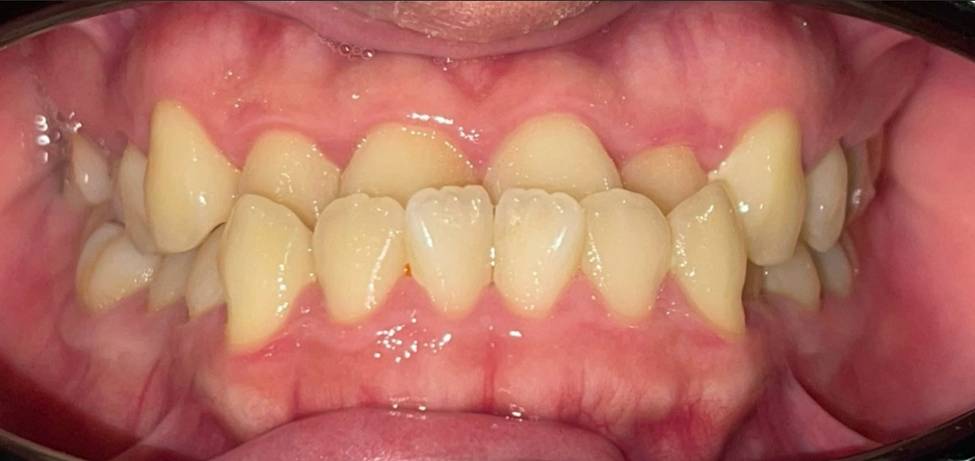
Khi thấy tôi hé miệng cười mếu máo, chợt một bác sĩ bảo: "Hay cậu thử đi khám răng xem?". Tôi ngớ người. Răng thì liên quan gì đến đau đầu? Nhưng vẫn đi. Và đó là ngày mà tôi phát hiện ra sự thật: Răng tôi bị răng chen chúc nặng, khớp cắn móm, độ cắn ngược nhiều, lệch khớp cắn nghiêm trọng. Răng chen chúc thì tôi vẫn nhìn thấy hàng ngày, nhưng lại nghĩ là bình thường chứ không thể ngờ nó lại ảnh hưởng đến khớp cắn trầm trọng như vậy.
Bác sĩ giải thích thêm trường hợp của tôi: Hai hàm không khớp nhau, cơ nhai bị căng liên tục, khớp thái dương hàm bị lệch, dẫn đến đau đầu (nhất là sáng sớm và chiều muộn), mỏi hàm, tiếng kêu khi nhai… Nếu để lâu, hàm dưới sẽ đưa ra trước ngày càng nhiều, khớp mòn, dễ sâu răng, mất răng, thậm chí hoại tử khớp. Nghe mà lạnh người.


Tiktoker Nhật Hào trước và sau khi niềng răng
Hơn 2 năm đeo niềng, cuộc đời thay đổi
Tình trạng rối loạn khớp thái dương hàm như tôi không phải hiếm. Theo ước tính, khoảng 60% người trưởng thành có vấn đề ở khớp này, song chỉ 15% biểu hiện triệu chứng rõ rệt như đau hàm, nhức đầu, ù tai hay mỏi vùng thái dương. Đáng nói, do các triệu chứng mơ hồ và dễ nhầm với bệnh lý khác, nhiều người hay đến qua các khoa nội, thần kinh, tai mũi họng… mà không nghĩ đến nguyên nhân nằm ở răng miệng.

Chuyện đánh răng tưởng thế nào cũng được, nhưng hóa ra thế này mới đúng
Quyết định niềng răng tại Hệ thống Nha khoa Tấm Dentist, tôi chọn phương pháp niềng mắc cài kim loại. Quá trình niềng kéo dài hơn 2 năm, kết hợp đeo máng bảo vệ ban đêm, chườm ấm và xoa bóp cơ nhai theo hướng dẫn, kết quả vượt ngoài mong đợi của tôi: Khớp móm được giải phóng hoàn toàn, hàm dưới không còn đưa ra trước quá mức mà về vị trí trung tâm ổn định, khớp cắn cân bằng sinh lý. Răng chen chúc nay đều đặn, dễ vệ sinh hơn, giảm nguy cơ sâu răng và mòn khớp.
Về thẩm mỹ, khuôn mặt tôi thay đổi rõ rệt, nụ cười rạng rỡ, hàm dưới hài hòa, tổng thể gương mặt cân đối và nam tính hơn. Trước kia, mỗi lần cười phải che miệng vì răng lệch, thì nay tôi tự tin chụp ảnh, giao tiếp với mọi người mà không ngại ngùng. Cuộc sống hàng ngày của tôi cũng cải thiện ngoạn mục. Tôi hết đau đầu buổi sáng, không còn mỏi hàm hay tiếng "lục cục" khi nhai, ăn uống thoải mái, giấc ngủ sâu giấc. Quan trọng hơn cả là tôi bỏ hẳn thuốc giảm đau, dạ dày khỏe mạnh trở lại, tập trung công việc tốt hơn, năng suất tăng cao.

Tiktoker Nhật Hào hiện tại - sau 2 năm niềng răng
Với tâm lý tự tin hơn bao giờ hết, tôi cảm thấy mình trẻ trung, năng động hẳn ra, không còn lo lắng về sức khỏe răng miệng nữa.
Theo BS Võ Thị Thảo - Hệ thống Nha khoa Tấm Dentist, rối loạn khớp thái dương hàm do lệch khớp cắn, răng chen chúc nếu phát hiện sớm, niềng răng sẽ điều chỉnh hiệu quả, tránh biến chứng như thoái hóa khớp, cứng hàm hay biến dạng mặt.

Theo BS Võ Thị Thảo - Hệ thống Nha khoa Tấm Dentist:niềng răng trước tiên là để điều chỉnh các sai lệch trong cấu trúc răng và khớp cắn rồi sau đó mới nói tới vấn đề về thẩm mỹ
Nhiều người lo sợ niềng răng tốn kém, đau đớn hoặc mất nhiều thời gian nhưng thực tế, sức khỏe của bản thân mới là điều quan trọng nhất. Răng miệng khỏe mạnh thì sức khỏe mới tốt, chất lượng cuộc sống mới đảm bảo. Vậy nên, trong trường hợp cần niềng răng để điều trị thì đây thực sự là đầu tư cần thiết cho tương lai, không niềng hôm nay thì tương lai vẫn phải niềng, lúc đó chi phí và thời gian điều trị sẽ phức tạp hơn nhiều.
Theo BS Võ Thị Thảo, điều trị niềng răng và chỉnh nha là chỉ định được đưa ra nhằm xử lý những bệnh lý đang âm thầm ảnh hưởng trực tiếp đến sức khỏe lâu dài như lệch lạc khớp cắn; cải thiện chức năng ăn nhai thông qua việc sắp đều những vị trí răng trên khung răng; phòng ngừa bệnh lý răng miệng; đôi lúc có thể giúp cải thiện cả phát âm, đặc biệt ở những bạn nhỏ có vị trí răng cửa hàm trên và dưới không đúng gây phát âm không đúng những âm như âm th, âm đ, âm s… và cuối cùng là lợi ích làm đẹp, cải thiện thẩm mỹ. Do đó, niềng răng không chỉ là giải pháp cho sức khỏe răng miệng nói riêng mà còn là giải pháp cho nhiều vấn đề của sức khỏe tổng thể."Niềng răng giúp điều chỉnh các sai lệch trong cấu trúc răng và khớp cắn – những yếu tố ảnh hưởng sâu sắc đến sức khỏe răng miệng trong tương lai, khả năng ăn nhai, phát âm hay hình dáng khuôn mặt. Niềng răng không phải là 1 phương pháp làm đẹp ngắn hạn hay trào lưu, mà nó là giải pháp nha khoa giúp giải quyết vĩnh viễn 1 số vấn đề về sức khỏe răng miệng" - BS Võ Thị Thảo nhấn mạnh




































