Người bệnh đột quỵ xuất huyết não có tiền sử bị dị dạng mạch máu não
Theo thông tin từ BVĐK Tâm Anh Hà Nội, vừa qua các bác sĩ đã cấp cứu kịp thời, thoát cơn nguy kịch do đột quỵ vì xuất huyết não. Trước đó người bệnh đã được chẩn đoán dị dạng mạch máu não nhưng chưa điều trị.
Bệnh nhân là chị Loan (22 tuổi) hôn mê sâu và mất phản xạ, chỉ số tri giác 6 điểm (người bình thường 15 điểm). Đồng tử trái người bệnh giãn 4 mm mất phản xạ ánh sáng, đồng tử phải 3 mm đáp ứng yếu, liệt hai bên cơ thể, rõ hơn ở nửa phải.
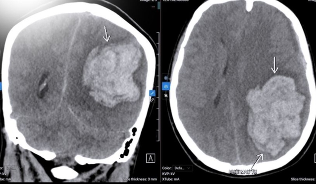
Kết quả chụp CT có khối máu tụ nội sọ cấp tính kích thước lớn tại bán cầu trái (khoảng 78×58,5×57 mm). Tình trạng phù não lan rộng làm lệch đường giữa sang phải 14 mm và chèn ép lều tiểu não trái.
Hình ảnh ổ xuất huyết nhu mô não bán cầu trái trên CT sọ não của người bệnh. Ảnh: BVCC
Ghi nhận thoát vị thái dương trong, gây đè ép thân não, một nhánh tĩnh mạch giãn sát bờ sau khối máu tụ, ổ phình khoảng 2 mm, nghi ngờ mạch máu dị dạng. Lớp máu dưới màng cứng bán cầu trái dày khoảng 7,5 mm. Nguyên nhân chảy máu từ khối dị dạng mạch não.
TS.BS Nguyễn Đức Anh, Trưởng khoa Ngoại Thần kinh Cột sống, Bệnh viện Đa khoa Tâm Anh Hà Nội, cho biết khối dị dạng mạch máu não ở người bệnh đã vỡ, gây chảy máu, tụ máu rất lớn trong não, tình trạng rất nguy kịch, cần phải can thiệp sớm.
Bác sĩ chỉ định vi phẫu mở hộp sọ để loại bỏ triệt để khối máu tụ lớn, lấy bỏ khối dị dạng, cầm máu, bảo tồn tối đa cấu trúc thần kinh.
Đột quỵ xuất huyết não: Hậu quả đáng sợ
Êkíp tiến hành hồi sức thần kinh tích cực, hỗ trợ thở máy, can thiệp nút điểm rò và cầm máu. Tiếp đó, mở một phần xương sọ tại vị trí tương ứng, sử dụng kính vi phẫu bóc tách các lớp màng, đi qua nhu mô não tiếp cận ổ máu tụ.
Ca phẫu thuật gặp nhiều thách thức do khối máu tụ nằm gần vùng mạch đã vỡ, nguy cơ chảy máu thứ phát trong ca mổ. Đồng thời, người bệnh tình trạng phù não và tăng áp lực nội sọ khiến não phồng, khó quan sát. Tổn thương ở vị trí sâu bác sĩ cần thao tác chính xác bảo tồn tối đa nhu mô não lành, hạn chế tối đa di chứng.
Sau 4 giờ phẫu thuật, êkíp thành công lấy toàn bộ khối máu tụ và kiểm soát các điểm chảy máu, bệnh nhân vượt qua cơn nguy kịch. Chị Loan được điều trị tích cực nhằm giảm phù não, kiểm soát nguy cơ huyết khối, ổn định huyết động.
Sau một tuần, người bệnh đã thoát khỏi tình trạng nguy kịch và dần bước vào giai đoạn ổn định, ngay lập tức người bệnh được tập phục hồi chức năng với bài tập thiết kế riêng tối ưu hóa khả năng vận động và nhận thức. Sau 30 ngày, sức khỏe bệnh nhân tiến triển tốt, tri giác cải thiện.
Theo Tiến sĩ Đức Anh, với những người bị đột quỵ do xuất huyết não, tỷ lệ tàn tật thường lâu dài hơn các loại đột quỵ khác, khoảng 61-88% người sống sót bị suy giảm chức năng, 35-55% gặp vấn đề suy giảm nhận thức. Bệnh gây yếu liệt, tàn phế vĩnh viễn, sống thực vật hoặc tử vong nếu không cấp cứu kịp thời.

Ảnh minh họa.
Làm gì để chủ động phòng ngừa nguy cơ đột quỵ
Tình trạng đột quỵ ở người trẻ hiện gia tăng đáng lo ngại trên toàn cầu. Theo một nghiên cứu đăng trên tạp chí Frontiers in Neurology (2025), tỷ lệ đột quỵ ở nhóm tuổi từ 15 đến 39 tăng với tỷ lệ 25,45 ca/100.000 người vào năm 2021. Có 101 quốc gia ghi nhận tỷ lệ cao hơn mức trung bình toàn cầu.
Tại Việt Nam, tỷ lệ người trẻ tuổi đột quỵ đang tăng ở mức 2% mỗi năm, chiếm đến ⅓ trong tổng số các trường hợp đột quỵ. Nguyên nhân do lối sống ăn uống thiếu khoa học, lười vận động, áp lực công việc. Cùng với đó là bệnh lý di truyền hoặc có những tổn thương dị dạng mạch máu não.
Song, người trẻ hoàn toàn có thể giảm nguy cơ đột quỵ nếu chủ động kiểm soát các yếu tố nguy cơ từ sớm. Điều quan trọng cần duy trì lối sống lành mạnh bằng cách cân đối giữa các nhóm thực phẩm, ăn giảm muối và mỡ bão hòa, tăng cường bổ sung rau xanh và trái cây nhưng vẫn đảm bảo đầy đủ nhóm chất sinh năng lượng như protein (cá, thịt trắng, trứng, hạn chế thịt đỏ), bổ sung lipit, gluxit; tập luyện đều đặn ít nhất 150 phút/tuần; ngủ đủ giấc và hạn chế stress kéo dài.
Ngoài ra cần theo dõi huyết áp, đường huyết, mỡ máu định kỳ vì nhiều trường hợp rối loạn chuyển hóa diễn tiến âm thầm. Nên ngừng hoặc giảm tối đa hút thuốc lá, uống rượu bia để bảo vệ thành mạch. Khi xuất hiện các dấu hiệu bất thường như méo miệng, yếu liệt tay chân, nói khó, đột ngột đau đầu dữ dội… cần đến bệnh viện ngay. Nhận biết sớm và điều chỉnh lối sống giúp phòng ngừa và giảm đáng kể nguy cơ đột quỵ ở người trẻ tuổi.
Người phụ nữ 46 tuổi phát hiện đột quỵ từ dấu hiệu cảnh báo sớm nhiều người Việt thường bỏ quaGĐXH - Trước khi phát hiện đột quỵ, người phụ nữ xuất hiện cơn đau đầu dữ dội kèm toát mồ hôi, tay chân bủn rủn sau khi đi vệ sinh tại công ty.


































