Phát hiện u màng não từ dấu hiệu... mất ngủ
Trong suốt nhiều năm, tình trạng mất ngủ triền miên khiến cuộc sống của cô Đ.T.T.H. (59 tuổi, Hà Nội) bị đảo lộn. Cô luôn cho rằng đây là vấn đề "đến hẹn lại lên" của tuổi trung niên nên cố gắng chịu đựng.
Thỉnh thoảng tự mua thêm các loại thực phẩm hỗ trợ giấc ngủ để dùng nhưng hiệu quả không kéo dài. Khi các triệu chứng không cải thiện, thậm chí ngày một trầm trọng hơn, cô cũng chỉ nghĩ cơ thể đang lão hóa và việc ngủ kém là điều khó tránh.
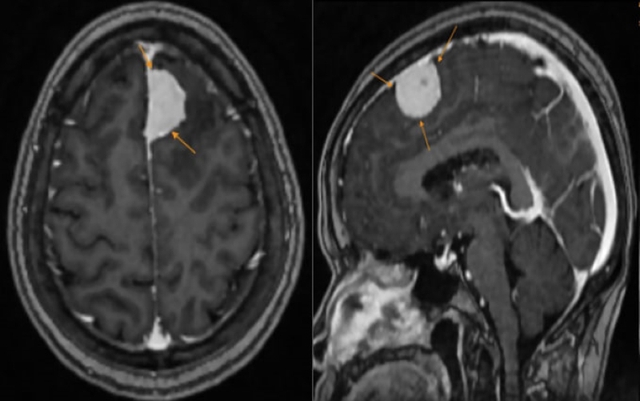
Hình ảnh khối u được phát hiện trên phim chụp MRI. Ảnh: BVCC
Tuy nhiên, thời gian gần đây, tình trạng mất ngủ của cô H. phát triển theo chiều hướng xấu: những cơn đau đầu âm ỉ xuất hiện ngày một nhiều, có hôm đau đến mức khiến cô không thể tập trung sinh hoạt bình thường nên đã đến BVĐK Medlatec khám.
Tại đây, kết quả thăm khiến cô H. vô cùng bất ngờ: hình ảnh MRI ghi nhận có một khối u lớn vùng trán trái kích thước khoảng 27x15mm, nghĩ nhiều đến u màng não. Các bác sĩ đã đưa ra tư vấn định hướng phương án can thiệp kịp thời.
Cảnh giác với dấu hiệu của u màng não
U màng não là khối u phát triển từ lớp màng nhện của màng não, chiếm khoảng 15% trong số các loại u não. Đây là bệnh lý thuộc hệ thần kinh trung ương, có thể gặp ở mọi lứa tuổi và giới tính nhưng xuất hiện ở người lớn nhiều hơn trẻ em và tỷ lệ nữ nhiều hơn nam. Hầu hết u màng não phát triển chậm và lành tính, nhưng cũng có một số có thể trở thành ác tính (ung thư).
U màng não đa số tiến triển rất chậm và thường không có triệu chứng, hoặc triệu chứng nghèo nàn nên rất khó phát hiện. Khi khối u phát triển đủ lớn chèn ép vào cấu trúc não hoặc dây thần kinh sọ, tùy vị trí của u mà biểu hiện khác nhau như: Đau; hội chứng tăng áp lực nội sinh.
Khi u màng não tiến triển nặng sẽ có dấu hiệu tổn thương thần kinh sọ như: Mất ngủ, nhìn mờ, mất thị lực một phần hoặc toàn bộ, nhìn đôi, lác, ù tai, giảm thính lực, điếc, tê bì mặt, yếu hoặc liệt tăng dần, co giật… Ngoài ra, còn một số dấu hiệu khác như thay đổi tính cách, hành vi; giảm trí nhớ; rối loạn giấc ngủ; động kinh.
Trường hợp của cô H. là lời cảnh báo quan trọng dành cho nhiều người: những rối loạn tưởng như đơn giản, đặc biệt là mất ngủ kéo dài hoặc đau đầu không rõ nguyên nhân, có thể là dấu hiệu của những vấn đề sức khỏe nghiêm trọng hơn.
Đau đầu dai dẳng, người phụ nữ bất ngờ phát hiện u màng não, bác sĩ chỉ rõ dấu hiệu đau đầu cảnh báo bệnh lý nguy hiểmGĐXH - Các chuyên gia khuyến cáo, khi những cơn đau đầu khởi phát kèm theo nhiều dấu hiệu bất thường có thể cảnh báo những căn bệnh nguy hiểm, người bệnh cần đặc biệt chú ý đi khám kịp thời.




































