3 người trong nhà cùng phát hiện u tuyến giáp: 2 sai lầm của người mẹ khiến ai cũng giật mìnhGĐXH - Bà Triệu thừa nhận sai lầm vì tin rằng muối i-ốt và tương đậu nành có khả năng phòng ngừa ung thư nên bà đã cho cả gia đình sử dụng trong thời gian dài.
Phát hiện u thần kinh nội tiết mặc dù không có triệu chứng
Mới đây, các bác sĩ BVĐK Medlatec cho biết đã tiếp nhận chị H.T.D (32 tuổi) đến kiểm tra sức khỏe định kỳ.
Khai thác tiền sử được biết, trước thời điểm thăm khám, bệnh nhân không ghi nhận bất kỳ triệu chứng bất thường nào như đau bụng, rối loạn đại tiểu tiện hay sụt cân.
Tuy nhiên, qua nội soi thực quản – dạ dày – tá tràng, bác sĩ phát hiện tại thân vị dạ dày có polyp kích thước khoảng 0,3cm. Tổn thương được cắt và gửi làm giải phẫu bệnh, kết quả là polyp tăng sản.
Hình ảnh khối u sau khi được cắt bỏ. Ảnh: BVCC
Nội soi đại tràng cho thấy, cách ống hậu môn 6cm có khối đẩy lồi niêm mạc kích thước khoảng 1cm, màu vàng nhạt, niêm mạc phía trên giống niêm mạc xung quang, thăm thấy chắc, di động. Đây là hình ảnh nội soi gợi ý điển hình của u thần kinh nội tiết.
Để đánh giá chính xác hơn về đặc điểm và mức độ xâm lấn của khối u, bác sĩ đã tiến hành nội soi siêu âm. Hình ảnh trên nội soi siêu âm cho thấy, khối u có kích thước khoảng 0,8cm, giảm âm không đồng nhất, nằm ở lớp dưới niêm mạc, lớp cơ trơn còn nguyên vẹn.
Trên cơ sở đánh giá tổn thương, bác sĩ đã chỉ định cắt bỏ khối u dưới nội soi bằng kỹ thuật cắt niêm mạc qua nội soi (EMR) cải tiến và gửi mẫu làm giải phẫu bệnh. Kết quả là u thần kinh nội tiết, độ I, diện cắt không có u.
Với kết quả trên, bệnh nhân được chẩn đoán mắc u thần kinh nội tiết trực tràng độ I đã được cắt bỏ hoàn toàn và hẹn nội soi kiểm tra lại sau 3 tháng.
U thần kinh nội tiết nguy hiểm thế nào?
Theo ThS.BSNT Lưu Tuấn Thành - Phó Giám đốc Trung tâm Tiêu hóa của bệnh viện cho biết, u thần kinh nội tiết (Neuroendocrine Tumor - NET) là nhóm u xuất phát từ các tế bào thần kinh nội tiết.
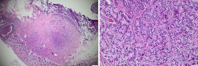
Hình ảnh mô tả vi thể khối u tại đại tràng. Ảnh: BVCC
Trên nội soi, tổn thương thường có đặc điểm nằm dưới niêm mạc, hình tròn, kích thước nhỏ, màu vàng nhạt. Những dấu hiệu gợi ý nguy cơ ác tính được ghi nhận là bề mặt tổn thương lõm sâu hoặc loét, kèm theo tình trạng tăng sinh mạch máu với biểu hiện giãn mạch và sung huyết rõ.
Bác sĩ Thành cho hay, sở dĩ u thần kinh nội tiết cần cắt bỏ càng sớm càng tốt, vì khối u có nguy cơ hóa ác tính và di căn cao. Có 90% u thần kinh nội tiết được phát hiện ở giai đoạn kích thước nhỏ và được can thiệp hiệu quả qua nội soi trực tràng. Trường hợp phát hiện trễ, khi kích thước khối u lớn, xâm lấn sâu vào thành trực tràng, di căn đến hạch bạch huyết hoặc gan, phổi… điều trị sẽ phức tạp hơn, tiên lượng sống thấp.
Các nghiên cứu chỉ ra rằng, nguy cơ di căn tăng đáng kể theo kích thước của khối u (<1cm chỉ chiếm 2%; >1cm tăng lên tới 20%), đồng thời phụ thuộc vào thời gian phát hiện và đặc điểm bề mặt của khối u.
3 người trong nhà cùng phát hiện u tuyến giáp: 2 sai lầm của người mẹ khiến ai cũng giật mìnhGĐXH - Bà Triệu thừa nhận sai lầm vì tin rằng muối i-ốt và tương đậu nành có khả năng phòng ngừa ung thư nên bà đã cho cả gia đình sử dụng trong thời gian dài.



































