Từ triệu chứng tiểu buốt đến phát hiện ung thư bàng quang
Vài năm trước, ông Toàn xuất hiện các triệu chứng tiểu đau, tiểu buốt, tiểu rắt… nhưng nghĩ chỉ là nhiễm khuẩn đường tiết niệu thông thường nên tự mua thuốc điều trị. Tuy nhiên, tình trạng không cải thiện. Lúc này người bệnh chưa nghĩ mình có thể mắc ung thư bàng quang.
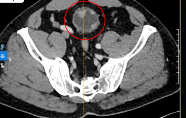
Khi đến khám tại Bệnh viện Đa khoa Tâm Anh TP.HCM, bác sĩ siêu âm và nội soi phát hiện khối u trong bàng quang kích thước khoảng 4–6 cm. Kết quả sinh thiết xác định đây là khối u ác tính, đã xâm lấn vào lớp cơ bàng quang.
Trước tình trạng này, êkíp quyết định thực hiện phẫu thuật “2 trong 1”: cắt toàn bộ bàng quang để loại bỏ triệt căn khối u và đồng thời tạo hình bàng quang mới từ ruột non bằng hệ thống robot Da Vinci Xi.
Hình ảnh CT ghi nhận khối u to bất thường xâm lấn cơ bàng quang người bệnh. Ảnh: BVCC
Tạo hình bàng quang bằng robot - cơ hội cho người bệnh ung thư
Theo bác sĩ, tạo hình bàng quang bằng ruột non là một trong những kỹ thuật khó và phức tạp của ngoại khoa tiết niệu, hiện chỉ triển khai tại một số trung tâm lớn. Phẫu thuật viên phải vừa lựa chọn đoạn ruột phù hợp, vừa tạo hình thành túi bàng quang mới, đồng thời nối lại với niệu quản và niệu đạo.
Với phương pháp truyền thống, bác sĩ cần mở thêm một đường mổ lớn để đưa ruột ra ngoài ổ bụng tạo hình rồi đặt lại vào trong. Tuy nhiên, với robot, hầu hết thao tác được thực hiện ngay trong ổ bụng nhờ cánh tay robot linh hoạt và hình ảnh 3D phóng đại, giúp giảm mất máu, hạn chế đau sau mổ và rút ngắn thời gian hồi phục.
Đặc biệt, kỹ thuật này giúp người bệnh có thể đi tiểu theo đường tự nhiên, tránh phải mang túi nước tiểu suốt đời. Dù vậy, ca mổ bằng robot đòi hỏi thời gian dài hơn và độ chính xác cao hơn so với mổ thông thường.
Sau phẫu thuật 3 ngày, ông Toàn đã có thể vận động nhẹ và được xuất viện. Người bệnh cần đặt ống thông tiểu khoảng 3 tuần trước khi tập đi tiểu theo đường tự nhiên để thích nghi với bàng quang mới.
Ảnh minh họa.
Ai có nguy cơ mắc ung thư bàng quang
Ung thư bàng quang là một trong những bệnh ung thư phổ biến ở nam giới, đặc biệt sau 50 tuổi. Nguy cơ mắc bệnh cao hơn ở người hút thuốc lá hoặc thường xuyên tiếp xúc hóa chất độc hại.
Điểm đáng lo ngại là bệnh thường khởi phát âm thầm với các triệu chứng dễ nhầm lẫn như tiểu buốt, tiểu rắt, tiểu nhiều lần hoặc tiểu ra máu thoáng qua. Nhiều người chủ quan tự điều trị khiến bệnh tiến triển nặng, xâm lấn cơ bàng quang và buộc phải cắt bỏ toàn bộ cơ quan này.
Bác sĩ khuyến cáo nam giới, đặc biệt trên 50 tuổi, nếu có rối loạn tiểu tiện kéo dài hoặc xuất hiện máu trong nước tiểu, cần đi khám chuyên khoa sớm để nội soi phát hiện bất thường. Việc chẩn đoán sớm giúp can thiệp ít xâm lấn, bảo tồn bàng quang và cải thiện chất lượng sống lâu dài.
Cách phòng ngừa ung thư bàng quang
- Hạn chế và tốt nhất không hút thuốc lá, bao gồm chủ động lẫn thụ động.
- Tránh tiếp xúc với hóa chất và sử dụng các biện pháp hỗ trợ chuyên dụng khi cần.
- Tuân thủ chế độ dinh dưỡng hợp lý để nâng cao sức đề kháng.
- Uống nhiều nước lọc và đảm bảo chất lượng nguồn nước.
- Tăng cường vận động, tập luyện thể thao để đào thải độc tố.
- Không tự ý dùng bất kỳ loại thuốc nào khi chưa được bác sĩ chỉ định.
- Tầm soát sức khỏe định kỳ, nhất là với độ tuổi từ 40-70 tuổi.
Người đàn ông phát hiện ung thư phổi di căn từ dấu hiệu nhiều người Việt bỏ quaGĐXH - Ho kéo dài tưởng chỉ là viêm phổi thông thường, người đàn ông đi khám phát hiện ung thư phổi giai đoạn muộn đã di căn.




































