Cháu Đ.H.N. (16 tuổi, học sinh) đến PKĐK Medlatec khám trong tình trạng sốt nóng, nhiệt độ cao nhất 38,2 độ C; kèm theo đó là triệu chứng đau đầu, đau họng, ho húng hắng. Cháu N. được gia đình cho uống thuốc hạ sốt tại nhà.
Đặc biệt, ngoài các triệu chứng nêu trên, bệnh nhân còn xuất hiện đau bắp chân phải tăng dần mặc dù không có chấn thương, đau tăng lên khi đi lại, vận động.
Trước các triệu chứng lâm sàng kể trên, bác sĩ tiến hành chỉ định các kỹ thuật cận lâm sàng phục vụ quá trình chẩn đoán.
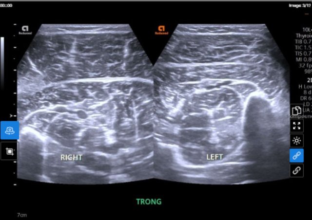
Bất thường tại chân phải được phát hiện trên hình ảnh siêu âm phần mềm. Ảnh: BVCC
Xét nghiệm virus test nhanh (5 tác nhân) cho kết quả dương tính với cúm A. Đặc biệt, trên hình ảnh siêu âm phần mềm chân phải phát hiện tình trạng phù nề cơ bụng chân trong - ngoài, cơ dép chân phải. Kết quả xét nghiệm men cơ CK total đạt 2419.6 U/L, gấp gần 60 lần mức bình thường. Chẩn đoán xác định, bệnh nhân mắc cúm A có tổn thương tiêu cơ vân cấp.
Ngay sau khi chẩn đoán xác định, bác sĩ tiến hành xây dựng phác đồ điều trị phù hợp cho cháu N., kết hợp điều trị cúm A với tổn thương cơ. Phác đồ bao gồm dùng thuốc kháng virus theo chỉ định, giảm đau, hạ sốt, truyền dịch và uống nhiều nước để đào thải CK (creatine kinase) ra khỏi cơ thể.
Bên cạnh đó, bệnh nhân được nghỉ ngơi, bổ sung dinh dưỡng. Đồng thời, bệnh nhân được kiểm tra xét nghiệm định kỳ (bao gồm chỉ số CK, chức năng thận, điện giải đồ) nhằm kịp thời phát hiện nguy cơ biến chứng.
Biến chứng nguy hiểm của cúm A: Tiêu cơ vân cấp
ThS.BS Mạc Thùy Chi - Chuyên khoa Cơ xương khớp của bệnh viện cho biết, tiêu cơ vân là tình trạng các tế bào cơ bị tổn thương và phá hủy, giải phóng myoglobin và nhiều men cơ vào máu. Nếu nồng độ myoglobin tăng cao, chất này có thể gây tắc nghẽn ống thận, dẫn đến suy thận cấp - biến chứng nguy hiểm nhất của tiêu cơ vân.
Ở trẻ vị thành niên, bệnh lý này thường liên quan đến vận động quá sức, chấn thương hoặc nhiễm virus. Trường hợp của cháu N. xuất hiện ngay trong giai đoạn nhiễm cúm A cho thấy sự tiến triển bất thường và cần được theo dõi sát sao.
Ảnh minh họa.
Các triệu chứng như đau cơ tăng dần, cảm giác căng tức ở vùng bắp chân, đi lại khó khăn hoặc đau tăng khi vận động là dấu hiệu gợi ý quan trọng của tiêu cơ vân. Do đó, phụ huynh không nên chủ quan với cúm A, đặc biệt trong bối cảnh thời tiết thay đổi, số ca mắc có xu hướng tăng.
Thống kê cho thấy, cúm A có thể gây ra nhiều biến chứng như viêm phổi, viêm cơ tim, viêm màng não và thậm chí tiêu cơ vân cấp, dù tỷ lệ ít nhưng gây hậu quả nghiêm trọng nếu không được theo dõi và điều trị kịp thời.
Phòng ngừa biến chứng nguy hiểm của cúm A
Bác sĩ Chi đưa ra khuyến cáo, để phòng ngừa biến chứng nguy hiểm, người dân cần nắm được những lưu ý quan trọng như sau:
- Đi khám sớm nếu xuất hiện các dấu hiệu bất thường như sốt cao kéo dài, đau cơ tăng dần, khó đứng vững, đau khi vận động, nước tiểu sẫm màu hoặc mệt lả;
- Không tự ý dùng thuốc, đặc biệt là các loại thuốc hạ sốt, giảm đau không đúng liều, hoặc kết hợp nhiều loại thuốc cùng lúc. Điều này tiềm ẩn rủi ro làm nặng thêm tình trạng tổn thương cơ và thận;
- Tiêm vaccine cúm hàng năm được xem là biện pháp quan trọng giúp giảm nguy cơ mắc cúm mùa và hạn chế biến chứng. Trẻ em, người cao tuổi, người có bệnh nền, hoặc hệ miễn dịch yếu là những nhóm nên ưu tiên tiêm phòng;
- Duy trì vệ sinh cá nhân, đeo khẩu trang khi đến nơi đông người và giữ thói quen rửa tay bằng xà phòng cũng góp phần giảm nguy cơ lây nhiễm.
Người đàn ông 45 tuổi ở Hà Nội suy thận cấp, suy tim nguy kịch vì biến chứng của cúm AGĐXH - Bệnh nhân được chẩn đoán nhiễm nấm Aspergillus xâm lấn phổi trên nền viêm phổi cúm A nặng, suy hô hấp, suy thận cấp, suy tim và sung huyết.




































