Vụ án "Ngân 98" (Võ Thị Ngọc Ngân) - bị khởi tố để điều tra về tội "Sản xuất, buôn bán hàng giả là thực phẩm" - hiện vẫn chưa "hạ nhiệt" trong cộng đồng khi một số mẫu sản phẩm được phát hiện chứa 2 hoạt chất bị cấm có thể gây rối loạn tim mạch, tăng huyết áp và tiềm ẩn nguy cơ ung thư.
Cấm tuyệt đối, vẫn trà trộn
Theo cơ quan điều tra, "Ngân 98" hợp tác với một số nhà máy tại Hà Nội để gia công các sản phẩm mang tên Super Detox X3, X7, X1000… và quảng cáo là "thực phẩm bảo vệ sức khỏe giảm cân", giúp giảm từ 4 - 15 kg, giá mỗi bộ sản phẩm từ 870.000 đến 1.100.000 đồng. Sản phẩm "viên rau củ Collagen" của Ngân chưa được cấp phép lưu hành. Kết quả kiểm nghiệm cho thấy có chứa 2 hoạt chất bị cấm là Sibutramine và Phenolphthalein.

Thực phẩm bảo vệ sức khỏe có tên Poria super model chứa chất cấm

Hệ lụy tổn thương não do nhiễm độc chất cấm sau sử dụng sản phẩm giảm cân không rõ nguồn gốc .Ảnh: BỘ Y TẾ
Những năm gần đây, phần lớn các sản phẩm giảm cân không phép bị phát hiện đều chứa Sibutramine và Phenolphthalein - hai chất thuộc danh mục cấm sử dụng trong sản xuất, kinh doanh thực phẩm bảo vệ sức khỏe. Tuy nhiên, các hoạt chất này vẫn liên tục bị phát hiện trong nhiều sản phẩm trôi nổi trên thị trường.

Canh "chống già" của nữ doanh nhân Nhật Bản 90 tuổi còn là "thuốc" kéo dài tuổi thọ, người Nhật chuộng từ lâu đời
Trước đó, Cục An toàn thực phẩm (Bộ Y tế) cảnh báo viên nang giảm cân Hồng Hạc Phục Linh chứa Sibutramine và khuyến cáo người tiêu dùng không sử dụng. Hàng loạt sản phẩm như Detox Táo hỗ trợ giảm cân, Dáng Xuân Phục Linh Gold, Best Slim Collagen, TIGI Max Plus, Loss Weight Phục Linh Collagen, Giấm Táo Slim… cũng bị phát hiện chứa chất cấm này. Tại Việt Nam, từ năm 2010 đã ngưng cấp phép nhập khẩu nguyên liệu Sibutramine. Năm 2011, Cục Quản lý Dược đình chỉ lưu hành trên toàn quốc các thuốc có chứa hoạt chất Sibutramine và thu hồi toàn bộ các thuốc có chứa hoạt chất này.
Cơ quan Quản lý Thực phẩm và Dược phẩm Mỹ (FDA) cũng từng loại bỏ chất này khỏi thị trường từ năm 1997 vì làm tăng đáng kể huyết áp và nhịp tim, đe dọa tính mạng người có bệnh tim. Trong khi đó, theo các tài liệu y học, Phenolphthalein là chất có thể gây ung thư và bị FDA cấm lưu hành từ năm 1999. Phenolphthalein thường bị phát hiện trong viên sủi giảm cân, trà thải độc, có thể do tác dụng nhuận tràng, sử dụng quá mức gây tiêu chảy. Cơ quan công an nhận định chất cấm Sibutramine và Phenolphthalein được phát hiện trong một số mẫu sản phẩm của "Ngân 98" gây ảnh hưởng nghiêm trọng đến sức khỏe người tiêu dùng.
Theo TS-BS Nguyễn Trung Nguyên, Giám đốc Trung tâm Chống độc (Bệnh viện Bạch Mai), sở dĩ không ít cơ sở vẫn lén lút trộn chất cấm trên vào thuốc giảm cân để tạo hiệu quả "thần tốc". Cơ chế giảm cân của Sibutramine là tác động trực tiếp lên hệ thần kinh trung ương tạo cảm giác no và chán ăn. Tuy nhiên, chính cơ chế này khiến tim đập nhanh, huyết áp tăng và mạch máu co lại. "Sibutramine có cấu trúc phân tử tương tự ma túy Amphetamine, là chất cực kỳ nguy hiểm, làm tăng nguy cơ đột quỵ và các biến chứng tim mạch nghiêm trọng" - BS Nguyên cảnh báo.
Tai họa rình rập sau "lời có cánh"
Dẫn thêm nhiều nạn nhân gần đây, BS Nguyên cảnh báo tình trạng ngộ độc chất cấm Sibutramine từ các sản phẩm giảm cân không rõ nguồn gốc là đáng lo ngại. Nhiều trường hợp nhập viện trong tình trạng hôn mê, co giật, tổn thương não. Ngoài ra, có không ít trường hợp ngộ độc do sử dụng các sản phẩm giảm cân có chứa Phenolphthalein, cafein liều cao, Synephrine... Trung tâm đã nhiều lần phát đi cảnh báo tới cộng đồng, thông báo cơ quan chức năng nhưng nhiều người vẫn gặp họa.
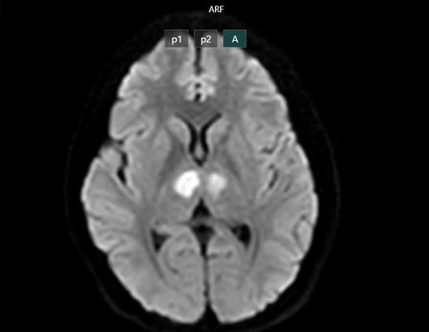
Cụ thể, một cô gái 21 tuổi ở Hà Nội hiện bị tổn thương não nặng (đang còn điều trị) sau khi sử dụng sản phẩm sức khỏe mua trên TikTok dẫn đến nhiễm độc Sibutramine. Cô vốn khỏe mạnh, đang dùng sản phẩm tự mua này gần một tháng (bao bì hoàn toàn bằng tiếng nước ngoài, không rõ là thuốc hay thực phẩm chức năng) thì đột ngột bất tỉnh, không sốt, không co giật. Kết quả MRI cho thấy tổn thương vùng đồi thị hai bên não. Hay một phụ nữ 37 tuổi đi cấp cứu sau khi sử dụng cà phê giảm cân; uống đến lần thứ 4 thì bị khó thở, lạnh toát, háo nước, hạ thân nhiệt đột ngột; kết quả xét nghiệm xác định sản phẩm chứa Sibutramine.
BS Nguyễn Trung Nguyên chỉ rõ các sản phẩm được quảng cáo "giảm cân nhanh" thường chứa nhiều hoạt chất nguy hiểm, có thể chia thành 3 nhóm chính: Nhóm chất kích thích như Sibutramine, cafein hoặc bột chiết từ tuyến giáp động vật. Những chất này khiến tim mạch hoạt động quá mức để "đốt cháy mỡ", tiêu hao năng lượng mà không cần vận động thể lực - cơ chế phản khoa học, dễ gây biến cố tim mạch và tổn thương não. Thứ 2 là nhóm chất gây chán ăn như Phenylpropanolamine - nhiều loại trong số này cũng có độc tính và rủi ro cao. Phenolphthalein trong thuốc giảm cân có thể gây ảnh hưởng nghiêm trọng đến hệ tiêu hóa, tim mạch, gan của người dùng. Thứ 3 là nhóm chất độn giúp tạo cảm giác no bằng cách nở ra trong đường tiêu hóa. "Hầu hết các sản phẩm này đều không công bố hay ghi rõ thành phần trên nhãn mác, thường quảng cáo với lời lẽ quá mức, không có kiểm soát" - BS Nguyên cảnh báo thêm.
Nhấn mạnh thêm mối nguy tiềm ẩn, ông Hà Anh Đức, Cục trưởng Cục Quản lý Khám, chữa bệnh (Bộ Y tế), cho rằng Sibutramine là chất bị cấm tuyệt đối sử dụng. Đáng lo ngại là hoạt chất này vẫn xuất hiện trong nhiều sản phẩm giảm cân như trà, cà phê hay nước detox, thường ở dạng thành phần "ẩn", không được nhà sản xuất công bố trên nhãn mác. "Đây chính là mối nguy lớn với người tiêu dùng" - ông Đức lo ngại.
Giới chuyên môn khẳng định trong kiểm soát cân nặng, không có phương thuốc nào thay thế cho chế độ dinh dưỡng cân bằng và lối sống khoa học. Để giảm cân an toàn, cơ thể chỉ nên giảm tối đa 0,5-1 kg/tuần. Cốt lõi của giảm cân bền vững là kiểm soát chặt chẽ năng lượng, bảo đảm lượng calo tiêu thụ lớn hơn calo hấp thụ cùng với việc duy trì tinh thần tích cực.
Bộ Y tế khuyến cáo người dân cần thận trọng khi mua các sản phẩm giảm cân trực tuyến hoặc hàng xách tay bởi không thể kiểm chứng nguồn gốc và quy trình sản xuất.




































