Một ca bệnh hy hữu vừa được ghi nhận tại tỉnh Phúc Châu (Trung Quốc). Một tài xế 46 tuổi, được gọi là anh Lâm (tên đã được thay đổi), đã sốt cao liên tục suốt 10 ngày, gan thận tổn thương nặng. Kết quả điều tra nguyên nhân khiến bác sĩ cũng phải ngã ngửa, nguồn lây đến từ… con chim cảnh mà anh nhét trong túi áo mỗi ngày.
Do đặc thù nghề lái xe đường dài, anh Lâm mua một con chim cảnh nhỏ về nuôi nhưng lại không có thời gian chăm. Anh liền “phát minh” cách mang theo: bỏ chim vào túi áo mang đi khắp nơi, rảnh vài phút lại lôi ra chơi.
Chỉ vài ngày sau, anh bắt đầu sốt cao, thân nhiệt lúc đỉnh tới 38,7 độ C, kèm run lạnh, ho khan, mệt mỏi, uể oải. Nghĩ chỉ là cảm cúm, anh tự uống thuốc hạ sốt.

Nhưng sốt cứ dứt rồi lại bùng, kéo dài 10 ngày. Đến khi xuất hiện thêm đau đầu, phản ứng chậm, tinh thần rã rời, gia đình mới vội đưa anh đi cấp cứu ở bệnh viện.

3 loại nước hút mỡ trong gan được BS Haravrd khuyên dùng, người gan nhiễm mỡ nặng cũng được cải thiện
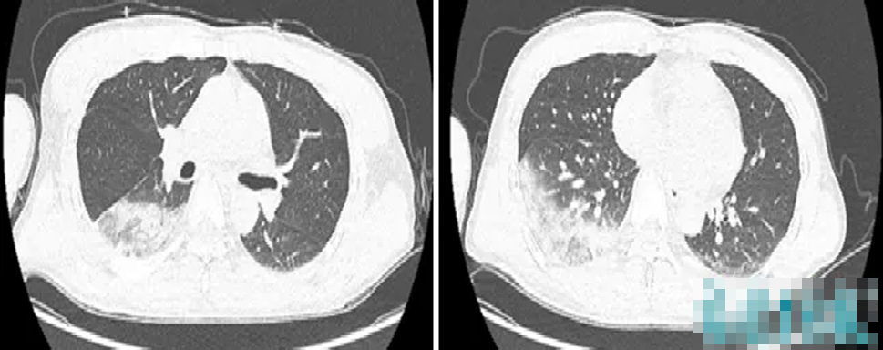
Kết quả kiểm tra cho thấy hai thuỳ phổi dưới đã viêm, chức năng gan thận đều tổn thương, chỉ số viêm tăng cao bất thường.
Khi bác sĩ truy lại tiền sử sinh hoạt, nghe tới chuyện “nuôi chim trong túi áo”, tổ chuyên môn lập tức nghi ngờ anh Lâm mắc bệnh Chlamydia psittaci (sốt vẹt).
Xét nghiệm chuyên sâu và giải trình tự gene mầm bệnh đã xác nhận đúng là nhiễm Chlamydia psittaci.
Sau khi được điều trị bằng doxycycline kết hợp kháng sinh, thân nhiệt anh trở lại bình thường, viêm giảm dần. Anh xuất viện sau 7 ngày.
Bác sĩ cảnh báo
Các chuyên gia nhấn mạnh, bệnh sốt vẹt là bệnh lây từ động vật sang người. Không chỉ vẹt, mà gà, vịt, ngỗng nuôi trong nhà hay chim rừng đều có thể là nguồn bệnh. Ngay cả khi đã từng mắc rồi, cũng không hình thành miễn dịch lâu dài, vẫn có thể nhiễm lại.
Hai con đường lây chính:
- Hít phải giọt khí chứa mầm bệnh : từ phân, nước tiểu, dịch tiết khi dọn chuồng, chăm chim, hoặc nơi nhiều gia cầm, ít gió, kém thông thoáng.
- Tiếp xúc qua vết thương : bị chim cắn, xước, hoặc tay có vết thương chạm vào phân – dịch tiết của chim, xử lý gà vịt sống…
Đáng sợ ở chỗ bệnh này có thể ủ bệnh 5-14 ngày, thậm chí 45 ngày không có triệu chứng.
Triệu chứng ban đầu rất giống cảm cúm: sốt cao, ho khan, đau đầu, đau mỏi toàn thân, chán ăn, buồn nôn.
Nhưng nếu nặng, bệnh có thể gây đau ngực, khó thở, suy hô hấp, ảnh hưởng gan - tim - thận - não (viêm cơ tim, tổn thương gan thận, viêm màng não…).
Nguồn và ảnh: QQ




































