Ê-kíp phẫu thuật tỉ mỉ loại bỏ từng khối u xơ tử cung.
18 khối u xơ khiến tử cung biến dạng nghiêm trọng
Vài năm trở lại đây, chị N.T.A (39 tuổi, Hà Nội) thường xuyên bị rong kinh kéo dài, lượng máu nhiều kèm đau bụng dữ dội mỗi kỳ kinh. Nghĩ đây chỉ là dấu hiệu rối loạn nội tiết, chị chủ quan không đi khám cho đến khi cảm giác mệt mỏi và đau vùng hạ vị ngày càng tăng.
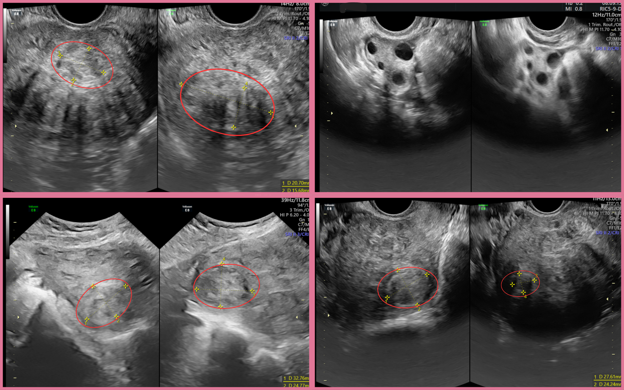
Qua thăm khám tại BVĐK Hồng Ngọc Phúc Trường Minh, các bác sĩ phát hiện tử cung của chị A có kích thước như đang mang thai 3 tháng với nhiều nhân xơ rải rác, khối lớn nhất ở thành trước kích thước hơn 4cm. Hình ảnh siêu âm cho thấy có nhiều u xơ nằm sâu trong cơ tử cung, có những khối có cuống dài và làm tử cung biến dạng hoàn toàn.

Thành tử cung biến dạng do đa u xơ.
ThS.BSCKII Nguyễn Văn Xuyên (Trưởng Đơn nguyên Phụ khoa và Tuyến vú - BVĐK Hồng Ngọc Phúc Trường Minh) cho biết: "Đa u xơ tử cung là tình trạng nhiều khối u xuất hiện đồng thời, làm biến dạng thành tử cung. Điều này khiến quá trình bong niêm mạc tử cung trong chu kỳ kinh không đồng đều, dẫn đến rong kinh kéo dài, đau bụng dữ dội. Đặc biệt trong trường hợp như chị A, số lượng lên đến 18 khối u với nhiều khối trong buồng tử cung có thể ảnh hưởng khả năng mang thai, tăng nguy cơ hiếm muộn".
Mặc dù là bệnh lý lành tính nhưng nếu không được điều trị đúng cách, các khối u có thể phát triển nhanh và gây nhiều biến chứng như thiếu máu, xoắn cuống u, hoại tử hoặc ảnh hưởng chức năng tiêu hóa, tiết niệu. "Với các trường hợp đã xuất hiện biến chứng, phẫu thuật là lựa chọn điều trị tối ưu nhất", bác sĩ Xuyên cho hay.
Tỉ mỉ loại bỏ từng khối u, bảo toàn tử cung và buồng trứng
Dựa trên hình ảnh siêu âm và kết quả thăm khám, bác sĩ nhận định các nhân xơ của chị A bám sâu trong lớp cơ tử cung, nhiều khối nằm sát nhau hoặc đan xen ở các vị trí phức tạp. Đây là dạng u xơ đa ổ khó can thiệp bằng nội soi vì nguy cơ bỏ sót u và tổn thương thành tử cung cao. Vì vậy, ê-kíp quyết định thực hiện phẫu thuật mở để có trường quan rộng, dễ kiểm soát và lấy sạch toàn bộ u.
"Với những ca đa u xơ, phẫu thuật viên phải thao tác rất tỉ mỉ. Mỗi nhân xơ cần được bóc chính xác, chân u phải được loại bỏ hoàn toàn để hạn chế nguy cơ tái phát. Đồng thời, kỹ thuật khâu phục hồi cơ tử cung phải chuẩn xác để kiểm soát chảy máu và giữ khả năng sinh sản cho người bệnh", bác sĩ Xuyên chia sẻ.
Nhờ tay nghề vững vàng của các bác sĩ, ca mổ diễn ra thuận lợi. Tổng cộng 18 khối u xơ với kích thước và độ ăn sâu khác nhau được bóc tách hoàn toàn. Tử cung và các cơ quan lân cận được bảo tồn nguyên vẹn, giữ lại khả năng sinh sản cho bệnh nhân.

18 khối u xơ được bóc tách với khối lớn nhất hơn 4cm.
Sau phẫu thuật, chị A hồi phục tốt. "Tôi thật sự nhẹ nhõm và yên tâm. Tôi rất biết ơn đội ngũ bác sĩ và nhân viên y tế đã phẫu thuật và tận tâm chăm sóc, giúp tôi giữ được tử cung để có thể sinh con sau này", người bệnh cảm động chia sẻ.
Theo bác sĩ Xuyên, điều trị u xơ tử cung cần được cá thể hóa tùy từng trường hợp. "Không có một phương án chung áp dụng cho tất cả trường hợp có u xơ tử cung. Việc lựa chọn theo dõi, điều trị nội khoa hay phẫu thuật sẽ phụ thuộc vào kích thước, vị trí, mức độ xâm lấn của khối u và kế hoạch sinh sản của người bệnh. Mục tiêu cao nhất trong điều trị u xơ tử cung là đảm bảo an toàn và hạn chế tối đa biến chứng ảnh hưởng đến sức khỏe của chị em", bác sĩ Xuyên nhấn mạnh.
Các bác sĩ khuyến cáo phụ nữ nên thăm khám phụ khoa định kỳ 6 - 12 tháng/lần. Đồng thời, khi xuất hiện các triệu chứng như rong kinh, đau bụng kéo dài, đầy bụng hay rối loạn kinh nguyệt, chị em nên đến các cơ sở y tế uy tín kiểm tra để kịp thời phát hiện và có kế hoạch điều trị phù hợp khi mắc các bệnh lý nguy hiểm như u xơ tử cung, u nang, lạc nội mạc tử cung…
Với đội ngũ bác sĩ hơn 20 năm kinh nghiệm cùng hệ thống phòng mổ vô khuẩn, thiết bị hiện đại, Đơn nguyên Phụ khoa & Tuyến vú – BVĐK Hồng Ngọc Phúc Trường Minh là địa chỉ tin cậy trong thăm khám và điều trị nhiều bệnh lý phụ khoa, ứng dụng kỹ thuật can thiệp hiện đại và quy trình chăm sóc theo chuẩn quốc tế.
Liên hệ: Đơn nguyên Phụ khoa & Tuyến vú - BVĐK Hồng Ngọc Phúc Trường Minh
Hotline: 0886 468 306
Địa chỉ: Khu B, Tầng 3, số 8 Châu Văn Liêm, Từ Liêm, Hà Nội




































