Ngày 28/12, PGS.TS.BS Nguyễn Huy Thắng, Trưởng khoa Bệnh lý Mạch máu Não, Bệnh viện Nhân Dân 115 TP.HCM cho biết, nơi đây vừa tiếp nhận một bệnh nhân nữ 42 tuổi nhập viện vì nói đớ. Theo thông tin từ gia đình, trước đó người bệnh hoàn toàn khỏe mạnh, không ghi nhận bất kỳ yếu tố nguy cơ đột quỵ nào như tăng huyết áp, đái tháo đường, rối loạn mỡ máu hay bệnh tim mạch.
Theo khai thác bệnh sử, dù đã có hai con trai sinh thường, người phụ nữ này vẫn mong muốn sinh thêm con và quyết định thực hiện phương pháp thụ tinh trong ống nghiệm (IVF) tại một phòng khám sản khoa. Người bệnh không thuộc nhóm hiếm muộn hay vô sinh, song vẫn được chỉ định sử dụng thuốc kích thích buồng trứng trong quy trình IVF.

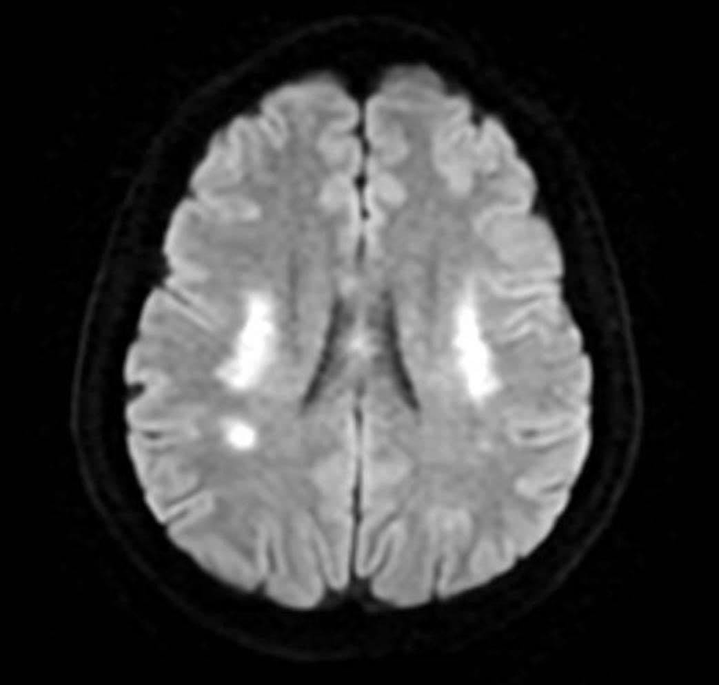
Trên hình ảnh kiểm tra, bác sĩ ghi nhận tình trạng tổn thương não xảy ra ở người bệnh (ảnh: BSCC)

Vì sao nhiều người mới ngoài 40 đã bắt đầu có "mùi người già"? Không phải do ở bẩn như nhiều người vẫn nghĩĐỌC NGAY
Vài ngày sau khi tiêm thuốc, bệnh nhân bắt đầu xuất hiện các biểu hiện bất thường như yếu, run tứ chi. Khi đến khám tại hai bệnh viện tư nhân, tình trạng này được nhận định có thể liên quan đến rối loạn lo âu hoặc hạ calci máu. Tuy nhiên, cả hai nơi đều không chỉ định chụp MRI não. Khi về nhà, bệnh nhân đột ngột nói đớ và được chuyển đến Bệnh viện Nhân Dân 115.
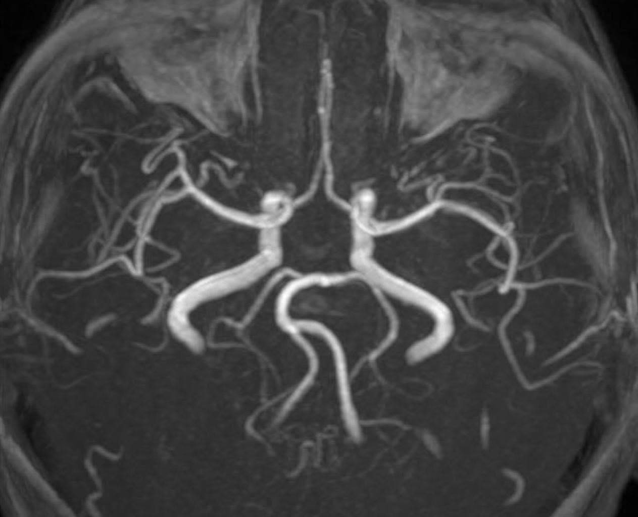
PGS Huy Thắng cho biết, ngay khi nhập viện, người bệnh được chụp MRI não. Hình ảnh cho thấy tổn thương não xảy ra ở hai bên trung tâm bán bầu dục và vùng lồi thể chai. Các thăm dò mạch máu não không ghi nhận tình trạng tắc hay hẹp các động mạch lớn. Dựa trên lâm sàng và hình ảnh học, các bác sĩ chẩn đoán bệnh nhân bị nhồi máu não cấp vùng trung tâm bán bầu dục hai bên và lồi thể chai.
Câu hỏi lớn được đặt ra là vì sao một phụ nữ còn trẻ, không có yếu tố nguy cơ tim mạch, lại xảy ra đột quỵ?. Theo PGS.TS.BS Nguyễn Huy Thắng, để lý giải điều này cần xem xét cơ chế sinh lý của kỹ thuật IVF.

Hình ảnh kiểm tra mạch máu não của người bệnh không ghi nhận tình trạng tắc hoặc hẹp các mạch máu lớn (ảnh: BSCC)
BS Thắng cho biết, IVF là phương pháp hỗ trợ sinh sản tiên tiến, trong đó trứng và tinh trùng được thụ tinh bên ngoài cơ thể trong môi trường phòng thí nghiệm, sau đó phôi được chuyển vào tử cung để làm tổ. Trong quy trình này, người phụ nữ thường được tiêm thuốc kích thích buồng trứng nhằm tăng số lượng trứng trưởng thành, đồng nghĩa với việc làm nồng độ hormone estradiol trong máu tăng cao bất thường.
Sự gia tăng estradiol có thể kích thích buồng trứng sản sinh nhiều yếu tố vasoactive, làm tăng tính thấm thành mạch máu. Hậu quả là dịch dễ thoát ra ngoài lòng mạch, gây giảm thể tích máu nội mạch và làm tăng nguy cơ hình thành huyết khối. Hai cơ chế này đều phù hợp với tổn thương não được ghi nhận ở bệnh nhân.
“Vùng trung tâm bán bầu dục, theo Louis Caplan - Giáo sư Thần kinh học tại Trường Y Harvard chính là vị trí ưa thích của những huyết khối nhỏ nhắm đến, đặc biệt khi bệnh nhân có tổn thương nhiều vùng chi phối mạch máu (trung tâm bán bầu dục 2 bên và lồi thể chai thuộc chi phối hệ cảnh - não giữa 2 bên và động mạch não trước hoặc động mạch não sau). Ngoài thuyên tắc huyết khối, trung tâm bán bầu dục là vùng giáp ranh cũng là vị trí tổn thương phù hợp với cơ chế giảm tưới máu”- PGS Huy Thắng giải thích thêm.
Theo PGS Huy Thắng, gần đây đã có một nghiên cứu được công bố mô tả trường hợp tổn thương thiếu máu tại vùng lồi thể chai ngay sau thực hiện kỹ thuật IVF. Trong ca này, tác giả nghĩ đến tổn thương não do cơ chế gây độc tế bào gây ra do nồng độ estradiol tăng cao.
“Với bệnh nhân của mình, chúng tôi chọn giải pháp bù dịch và kháng kết tập tiểu cầu. Dù chưa có chứng cứ thuyết phục, tuy vậy, đây có lẽ là giải pháp phù hợp. Sau một tuần theo dõi bệnh nhân đã phục hồi hoàn toàn, nhưng vẫn cần được theo dõi để tầm soát nguyên nhân khác” – PGS Huy Thắng cho biết.
“Đột quỵ phần lớn do nhiều yếu tố nguy cơ khó tránh, như tăng huyết áp (vô căn), hoặc một số nguyên nhân liên quan đến tuổi tác. Tuy nhiên, thật đáng tiếc nếu có thêm những nguy cơ khác đến từ các nguyên nhân không thật cần thiết, đặc biệt đối với người trẻ” – PGS.TS.BS Nguyễn Huy Thắng.




































