Trẻ nuốt phải "lưỡi dao" vì một phút sơ sẩy
Theo chia sẻ từ gia đình, bé trai L.M.T (10 tháng tuổi, Hà Nội) đang chơi cùng bố thì trong giây phút sơ suất, bé đã cầm và nuốt phần đầu của điếu thuốc lá nung nóng (khác với thuốc lá truyền thống đây là loại thuốc có cấu tạo đặc biệt có chứa lá kim loại mỏng bên trong). Khi bé T. nuốt phải, nước bọt đã làm mềm và hòa tan lớp thuốc lá bên ngoài, để lộ ra lõi kim loại sắc nhọn, mỏng như một lưỡi dao thu nhỏ.
"Khi thấy con nuốt, tôi hoảng quá, cố lấy ra nhưng không được. Bé bắt đầu ho, đỏ mặt rồi nôn ra một chút tàn thuốc, cả nhà rất sợ hãi lập tức đưa con đến BVĐK Hồng Ngọc" - Người bố kể lại.
Phần đầu của điếu thuốc lá có chứa lá kim loại mỏng
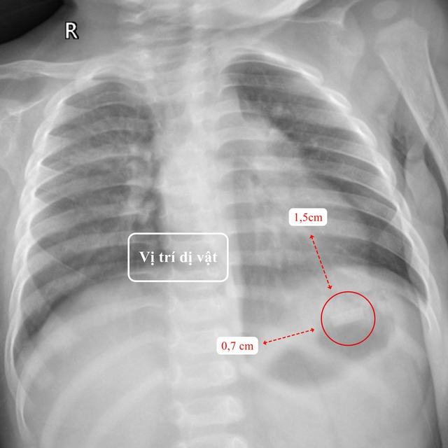
Tại Khoa Nhi - BVĐK Hồng Ngọc- Phúc Trường Minh, kết quả thăm khám lâm sàng và cận lâm sàng cho thấy một dị vật kim loại hình chữ nhật kích thước 1,5x0,7cm, có góc nhọn, mỏng và sắc như lưỡi dao nằm tại vùng hạ sườn trái, vị trí bóng hơi dạ dày của bé T. Ngoài ra, do nuốt phải một phần thuốc lá, trẻ có biểu hiện say thuốc với triệu chứng mệt mỏi, môi tái. Song, tình trạng này chỉ kéo dài khoảng 30 phút. Sau theo dõi, các chỉ số sinh tồn của bé ổn định, xét nghiệm máu không phát hiện bất thường.
Vị trí dị vật trên film chụp X-quang
Thành công loại bỏ "lưỡi dao", cứu bé khỏi nguy cơ thủng ruột
Nhận định độ nguy hiểm của dị vật, các bác sĩ ngay lập tức phối hợp hội chẩn liên chuyên khoa giữa Nhi Tiêu hóa, Ngoại Tiêu hóa, Gây mê hồi sức, Chẩn đoán hình ảnh; quyết định lựa chọn phương án tiến hành nội soi lấy dị vật ra ngoài.
Trực tiếp theo dõi và tiến hành nội soi cho bé, TS.BSNT. Phan Thị Hiền (Khoa Nhi Tiêu Hóa - BVĐK Hồng Ngọc - Phúc Trường Minh) cho biết: "Dị vật tuy có kích thước không quá lớn, nhưng vô cùng mỏng, sắc bén và có góc nhọn, khi di chuyển trong ống tiêu hóa có thể cắt rách hoặc xuyên thủng niêm mạc của bé. Khi chúng tôi tiến hành nội soi, dị vật đã di chuyển xuống tá tràng, chỉ cần một cử động nhỏ có thể khiến dị vật rơi xuống ruột non, việc xử trí sẽ khó khăn hơn và mất nhiều thời gian cùng với nguy cơ cao gây thủng ruột. Vì vậy, ê-kíp phải thực hiện từng bước thật tỉ mỉ, kiểm soát chính xác hướng di chuyển của dụng cụ gắp, đảm bảo vừa giữ vững tầm quan sát, vừa tránh để dị vật cọ xát vào thành ruột, dùng vợt có lưới vải ôm trọn dị vật và nhẹ nhàng kéo dị vật qua thực quản ra ngoài."
Sau 15 phút nội soi, nhờ kinh nghiệm chuyên môn vững vàng cùng sự phối hợp nhịp nhàng, TS. Phan Thị Hiền cùng ê-kíp đã gắp thành công mảnh kim loại ra ngoài an toàn mà không gây trầy xước hay tổn thương đường tiêu hóa của trẻ.
Các bác sĩ thực hiện nội soi, gắp dị vật ra ngoài
Sau can thiệp, trẻ tỉnh táo, chơi ngoan, ăn tốt, không đau bụng, không nôn. Các chỉ số sinh tồn ổn định và trẻ được xuất viện ngay trong ngày.
Trẻ tỉnh táo, các chỉ số ổn định sau can thiệp
Qua trường hợp của bé T, các bác sĩ khuyến cáo phụ huynh cần cẩn trọng hơn trong quá trình chăm sóc trẻ nhỏ, đặc biệt với trẻ trong giai đoạn biết bò, biết cầm nắm các vật xung quanh. Đây là giai đoạn trẻ hiếu động, thích khám phá thế giới bằng cách đưa mọi thứ vào miệng. Vì vậy, nguy cơ nuốt phải dị vật là rất cao.
Phụ huynh cần chủ động loại bỏ các vật dụng nhỏ, sắc nhọn như nam châm, đồng xu, cúc áo, ốc vít,… hoặc những chất độc hại như dung dịch tẩy rửa, thuốc lá,… ra khỏi tầm với của trẻ. Kiểm tra kỹ thức ăn trước khi cho trẻ ăn, tránh để sót xương cá, xương gà,.... hạt hoặc mảnh vụn có thể gây hóc, mắc. Đồng thời, tập cho trẻ thói quen không ngậm hay mút đồ chơi, vật lạ và luôn có người lớn giám sát khi trẻ ăn hoặc vui chơi, không để trẻ chạy nhảy, cười đùa trong lúc ăn.
Trong trường hợp phát hiện trẻ nuốt phải dị vật, phụ huynh cần đưa ngay trẻ đến cơ sở y tế gần nhất để được thăm khám và xử trí kịp thời. Tuyệt đối không tự tìm cách lấy dị vật hoặc cho trẻ ăn thêm để làm trôi xuống dạ dày, vì có thể khiến dị vật mắc sâu hơn và gây nguy hiểm cho trẻ.
Với đội ngũ bác sĩ giàu kinh nghiệm cùng hệ thống trang thiết bị hiện đại, Khoa Nhi - Bệnh viện Đa khoa Hồng Ngọc luôn sẵn sàng tiếp nhận và xử trí hiệu quả từ các bệnh lý cấp thường gặp đến những ca phức tạp, mang đến cho trẻ sự chăm sóc toàn diện và cho gia đình niềm an tâm trọn vẹn.
Hotline: 0947.616.006
Bệnh viện Đa khoa Hồng Ngọc




































