Tuy nhiên, để Implant thành công và sử dụng lâu dài, yếu tố then chốt nằm ở tay nghề bác sĩ, quy trình điều trị và hệ thống trang thiết bị.
Theo GS.TS.TTƯT Võ Trương Như Ngọc, mục tiêu của cấy ghép Implant không chỉ là “trồng lại răng đã mất” mà là khôi phục chức năng ăn nhai, thẩm mỹ và chất lượng sống lâu dài cho người bệnh.
Cấy ghép Implant là một thủ thuật xâm lấn, đòi hỏi bác sĩ không chỉ hiểu rõ giải phẫu vùng hàm mặt mà còn có khả năng xử lý các tình huống phức tạp như: thiếu xương, xoang hàm thấp, bệnh lý toàn thân kèm theo.
Để một ca phẫu thuật thành công bền vững, tay nghề bác sĩ là yếu tố tiên quyết. Bác sĩ phải am tường giải phẫu để điều hướng trụ Implant né tránh các "vùng cấm" như dây thần kinh răng dưới hay xoang hàm, đồng thời đủ kinh nghiệm để xử lý những ca tiêu xương phức tạp. Nếu đánh giá sai mật độ xương hoặc đặt sai vị trí dù chỉ một milimet, nguy cơ đào thải hoặc tổn thương thần kinh là rất lớn.
Bên cạnh đó, hệ thống trang thiết bị hiện đại đóng vai trò quan trọng trong việc hỗ trợ bác sĩ chẩn đoán và xây dựng phác đồ điều trị chính xác. Phim chụp CT Cone Beam 3D giúp bác sĩ nhìn thấu cấu trúc xương trong không gian ba chiều, trong khi công nghệ máng hướng dẫn phẫu thuật giúp việc đặt trụ đạt độ chính xác tuyệt đối, giảm thiểu xâm lấn và đau đớn.
Cuối cùng, một quy trình vô trùng nghiêm ngặt là điều kiện sống còn để ngăn ngừa nhiễm trùng quanh trụ.
Kết hợp chặt chẽ giữa yếu tố chất lượng chuyên môn và chất lượng vật liệu
Nha khoa Như Ngọc là một trong những cơ sở điều trị răng hàm mặt chú trọng khá rõ vào hai yếu tố: chuyên môn của bác sĩ và chất lượng vật liệu sử dụng.
Về chuyên môn, các ca điều trị tại đây thường được lập kế hoạch tương đối đầy đủ, có sự phối hợp giữa nhiều chuyên khoa khi cần thiết. Đội ngũ bác sĩ đa phần có trình độ sau đại học, được đào tạo bài bản và có nền tảng học thuật tốt. Một số bác sĩ đồng thời tham gia giảng dạy hoặc công tác tại các bệnh viện tuyến trung ương, nên có điều kiện tiếp cận và cập nhật kiến thức chuyên môn thường xuyên. Việc hội chẩn và giám sát chéo giữa các bác sĩ cũng được áp dụng, giúp hạn chế rủi ro và đưa ra hướng điều trị phù hợp hơn cho từng trường hợp.

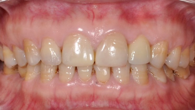
Phục hồi trên implant tại vùng thẩm mỹ như răng thật tại Nha Khoa Như Ngọc (21 Trần quang diệu, Hà Nội).
Về vật liệu và trang thiết bị, phòng khám có xu hướng sử dụng các dòng implant và vật liệu nha khoa từ những hãng lớn, có tiêu chuẩn rõ ràng về độ an toàn và độ bền. Các thông tin liên quan đến trụ implant như nguồn gốc, lô sản xuất hay bác sĩ thực hiện thường được lưu trữ và có thể tra cứu, điều này giúp tăng tính minh bạch trong điều trị.

670294401_4299763916938557_6629409047496729875_n

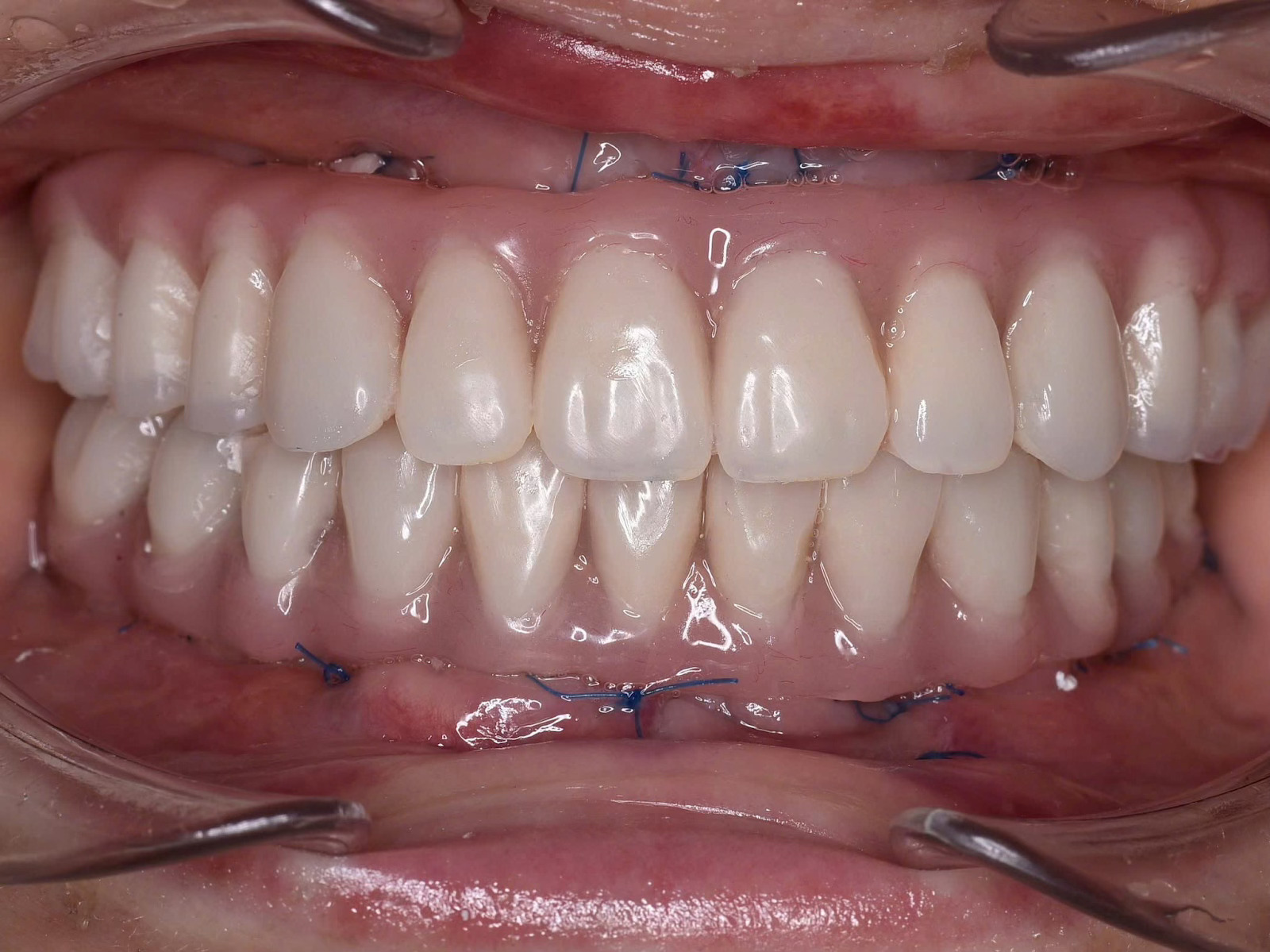
Cấy ghép Implant toàn hàm và phục hình tức thì sau 24h tại Nha Khoa Như Ngọc (21 Trần quang diệu, Hà Nội)
Ngoài ra, việc ứng dụng công nghệ số trong quản lý hồ sơ bệnh án cũng được triển khai tương đối đồng bộ. Các dữ liệu như phim X-quang, hình ảnh lâm sàng hay kế hoạch điều trị được lưu trữ đầy đủ, giúp bác sĩ theo dõi tiến trình và người bệnh cũng có thể nắm rõ hơn tình trạng của mình.
Nhìn chung, mô hình hoạt động của phòng khám này phù hợp với xu hướng hiện nay trong nha khoa: điều trị theo kế hoạch toàn diện, chú trọng bằng chứng chuyên môn, đồng thời minh bạch hóa thông tin để người bệnh dễ theo dõi và phối hợp trong quá trình điều trị.
Công nghệ số còn được tích hợp sâu vào quá trình lập kế hoạch điều trị và phẫu thuật:
Máng hướng dẫn phẫu thuật cá nhân hóa: dụng cụ được làm riêng cho từng bệnh nhân để hỗ trợ bác sĩ đặt trụ Implant đúng vị trí. Khi phẫu thuật, bác sĩ chỉ cần khoan qua các lỗ định hướng trên máng

Máng hướng dẫn phẫu thuật cá nhân hóa
Hệ thống dẫn động tay khoan (Dynamic Navigation System – DNS) : cho phép bác sĩ theo dõi vị trí, hướng và độ sâu của mũi khoan theo thời gian thực trong suốt quá trình phẫu thuật đảm bảo độ chính xác cao, hạn chế nguy cơ tổn thương các cấu trúc giải phẫu quan trọng, đặc biệt là trong những trường hợp phức tạp, đòi hỏi độ chính xác cao hoặc vùng thẩm mỹ.

Cấy ghép implant có sử dụng hệ thống hướng dẫn động, bác sĩ quan sát và kiểm soát các thông số trong suốt quá trình một cách trực quan
Công nghệ búa từ tính: sử dụng trong các ca nong xương, nâng xoang. Lực tác động được kiểm soát tuyệt đối, ít rung hơn với lực tay thông thường giúp hạn chế sang chấn quá mức và bệnh nhân cũng sẽ cảm thấy dễ chịu hơn trong quá tình thực hiện thủ thuật.
Ghép huyết tương giàu tiểu cầu (PRF): giúp cầm máu nhanh, tăng lành thương cho xương và mô mềm.
Kháng sinh dự phòng trước phẫu thuật và chăm sóc hậu phẫu cũng được chú ý quan tâm chặt chẽ với việc sử dụng tia laze làm hạn chế sưng nề sau phẫu thuật, ngoài đơn thuốc kháng sinh hậu phẫu thường quy thì việc sử dụng thêm nước súc miệng HMU có chứa 0.12% chlorhexidine do Đại học Y Hà Nội nghiên cứu cũng giúp giảm thiểu mật độ vi khẩu trong khoang miệng sau phẫu thuật qua đó giúp giảm sưng đau cho người bệnh.
Không chỉ trong phẫu thuật, số hóa còn được áp dụng toàn diện trong khâu lấy dấu và chế tác phục hình giúp giảm cảm giác khó chịu cho bệnh nhân, rút ngắn thời gian chờ đợi, để người bệnh sớm có răng phục hình đạt độ chính xác cao và khả năng ăn nhai ổn định.

Nước xúc miệng HMU 0.12% Chlorhexidine
Theo GS.TS.TTƯT Võ Trương Như Ngọc, mục tiêu của cấy ghép Implant không chỉ là “trồng lại răng đã mất” mà là khôi phục chức năng ăn nhai, thẩm mỹ và chất lượng sống lâu dài cho người bệnh. Các ca bệnh được tiếp nhận đều được đưa ra kế hoạch điều trị toàn diện, phối hợp đa chuyên khoa.
Sự kết hợp chặt chẽ giữa yếu tố chất lượng chuyên môn của đội ngũ bác sĩ và yếu tố đảm bảo chất lượng vật liệu tốt cũng nhưng luôn cập nhật những kỹ thuật, công nghệ tiên tiến nhất trên thế giới cũng như không ngừng đổi mới và sáng tạo giúp Nha Khoa Như Ngọc luôn khẳng định được vị thế là Nha Khoa lớn và uy tín tại Hà Nội cũng như toàn quốc.
Bên cạnh Răng Trẻ Em và Chỉnh Nha thì Phẫu thuật cấy ghép Implant và thẩm mỹ luôn là thế mạnh của Nha Khoa Như Ngọc!




































