

Sau mãn kinh, tôi mới hiểu vì sao đêm nào cũng vã mồ hôi: Hóa ra cơ thể đang "xin" được ăn uống tử tế hơnĐỌC NGAY
Theo thông tin từ JiMu News (Trung Quốc) , một ca bệnh hiếm gặp vừa được ghi nhận tại Vũ Hán đã khiến nhiều người không khỏi giật mình về những rủi ro tiềm ẩn khi uống rượu bia quá mức.
Anh Trần, 36 tuổi, liên tục bị đau âm ỉ vùng dạ dày trong gần một tháng. Do cơn đau không quá dữ dội và có thể tạm giảm sau khi uống thuốc dạ dày, anh cho rằng mình chỉ bị tái phát bệnh cũ nên chủ quan không đi khám. Mãi đến khi xuất hiện cơn đau quặn dữ dội vùng thượng vị, kèm buồn nôn liên tục, không thể ngồi hay nằm yên, anh mới vội vã đến Bệnh viện Tổng hợp Vận tải Trường Giang, Vũ Hán để kiểm tra.
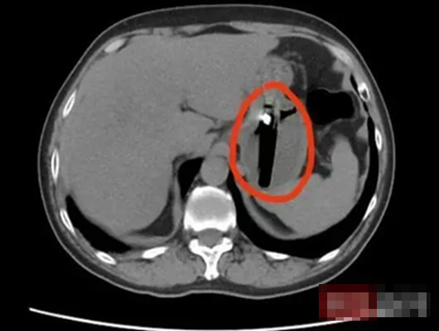
Kết quả chụp CT khiến cả bệnh nhân lẫn bác sĩ bất ngờ: trong dạ dày của anh có một dị vật dài khoảng 8cm. Sau khi khai thác kỹ tiền sử, bác sĩ nghi ngờ dị vật này chính là một chiếc bật lửa mà bệnh nhân đã vô tình nuốt phải trong một lần say rượu cách đó khoảng một tháng.
Theo lời kể, trong buổi tụ tập bạn bè, anh Trần uống quá nhiều đến mức mất ý thức. Trong trạng thái lơ mơ, anh cầm bật lửa trên tay và nhầm lẫn, nuốt vào bụng mà hoàn toàn không hay biết. Sau khi tỉnh rượu, anh chỉ cảm thấy cồn cào, đau nhẹ và trào ngược dạ dày, nghĩ là hậu quả của việc uống rượu nên không để tâm.

Bác sĩ cho biết khi say rượu, phản xạ vùng hầu họng suy giảm, khả năng phán đoán kém, cơ trơn thực quản giãn ra, khiến dị vật dễ dàng lọt vào dạ dày. Với kích thước lớn như bật lửa, dị vật không thể tự đi qua môn vị để xuống ruột, mà liên tục cọ xát vào niêm mạc dạ dày, gây viêm loét, đau kéo dài. Nguy hiểm hơn, axit dạ dày có thể làm hỏng vỏ bật lửa, gây rò rỉ khí dễ cháy hoặc chất độc, thậm chí dẫn đến thủng dạ dày, viêm phúc mạc.
Do nguy cơ cao, các bác sĩ quyết định phẫu thuật khẩn cấp. Vì dị vật lớn, hình dạng không đều và chứa khí dễ cháy, việc gắp thông thường tiềm ẩn rủi ro. Dưới sự chỉ đạo của trưởng khoa, ê-kíp đã sáng tạo sử dụng găng tay y tế chuyên dụng để bao bọc và lấy trọn chiếc bật lửa ra ngoài, tránh gây tổn thương thêm cho thực quản và dạ dày.

Sau phẫu thuật, tình trạng đau bụng của bệnh nhân cải thiện rõ rệt. Anh được theo dõi sát trong 48 giờ, kiểm soát chế độ ăn và dự kiến sớm xuất viện nếu không có biến chứng.
Các bác sĩ cảnh báo, khi ăn uống cần tập trung, tuyệt đối tránh đùa giỡn hoặc sử dụng rượu bia quá mức. Nếu nghi ngờ nuốt phải dị vật, không tự ý móc họng hay nuốt cơm để “đẩy xuống”, vì có thể làm tổn thương nặng hơn. Đặc biệt, dị vật cứng dài trên 6 cm rất khó tự đào thải, nếu xuất hiện đau bụng kéo dài, trào ngược, nôn ói hoặc đau dữ dội đột ngột, cần đến bệnh viện ngay để tránh hậu quả nguy hiểm đến tính mạng.




































